النيسرية السحائية

النيسرية السحائية
Scanning electron micrograph of a single "N. meningitidis" cell (colorized in blue) with its adhesive pili (colorized in yellow). The scale bar corresponds to 1 µm.
Scanning electron micrograph of a single N. meningitidis cell (colorized in blue) with its adhesive pili (colorized in yellow). The scale bar corresponds to 1 µm.
التصنيف العلمي edit
أصنوفة غير معروفة (أصلحها): Neisseria
Species:
Binomial name
Template:Taxonomy/NeisseriaNeisseria meningitidis
Albrecht & Ghon 1901

النيسرية السحائية Neisseria meningitidis أو المكورات السحائية هي مكورات مزدوجة هوائية سلبية الغرام وثيقة الصلة بالنيسرية البنية وبعدة أنواع غير ممرضة من النايسريات مثل النيسرية اللبنية. للجرثومة غشاءان: داخلي (هيولي)، وخارجي مفصولان بالجدار الخلوي. ويحتوي الغشاء الخارجي عدة پروتينات بنيوية تسمح للجرثومة بالتأثير على خلايا المضيف كما أن لها وظائف أخرى.

يحاط الغشاء الخارجي بمحفظة من عديدات السكاريد، وهي ضرورية للإمراضية؛ نظراً لأنها تساعد الجراثيم على مقاومة البلعمة، والانحلال المتواسط بالمتممة.

تشكل پروتينات الغشاء الخارجي، وعديدات السكاريد المحفظية المستضدات السطحية الرئيسة للجرثومة.

تصنف المكورات السحائية باستعمال الطرق المصلية اعتماداً على بنية المحفظة عديدة السكاريد. وقد تم وصف 13 محفظة عديدة سكاريد متميزة مستضدياً وكيمياوياً. إن بعض السلالات (غالباً تلك التي تسبب حالات الحمل اللاعرضي في البلعوم الأنفي) ليست مصنفة ضمن مجموعات، وليس لها محفظة.

تنجم معظم حالات المرض الغازي تقريباً عن واحدة من خمس زمر مصلية، هي: A,B,C,Y,W135. وتعتمد الأهمية النسبية لأي من هذه الزمر المصلية على الموضع الجغرافي إضافة لعوامل أخرى مثل العمر. على سبيل المثال تعتبر الزمرة المصلية A السبب الرئيس للمرض في المناطق تحت الصحراء الإفريقية، بينما نادراً ما يتم عزلها في الولايات المتحدة.

تصنف المكورات السحائية تصنيفاً آخر اعتماداً على بعض پروتينات الغشاء الخارجي. ويمكن للتصنيف الفرعي الجزيئي باستعمال تقنيات مخبرية متخصصة (مثل الرحلان الكهربي على الحقل النابض) أن يقدم معلومات وبائية مفيدة.


مرض المكورات السحائية

هو مرض حاد قد يكون شديداً ينجم عن جرثومة النيسرية السحائية.


التأريخ

إن أول وصف لمرض يعتقد أنه ناجم عن المكورات السحائية كان في القرن السادس عشر. أما أول وصف مؤكد للمرض، فكان عام 1805 من قبل ڤيوسو في سويسرا.

تم التعرف على الجراثيم في السائل الدماغي الشوكي للمرضى لأول مرة من قبل وتشسلبوم عام 1877.

إن النيسرية السحائية هي السبب الرئيس لالتهاب السحايا الجرثومي وللانتان في الولايات المتحدة وقد تسبب أيضاً مرضاً موضعياً مثل ذات الرئة والتهاب المفاصل. كذلك فإن النيسرية السحائية سبب لأوبئة التهاب السحايا، وتجرثم الدم في المناطق الواقعة تحت الصحراء الإفريقية. وقد قدرت منظمة الصحة العالمية أن مرض المكورات السحائية كان السبب في وفاة 171000 شخص في العالم عام 2000.

تم ترخيص العمل بأول لقاح أحادي التكافؤ عديد السكاريد (الفئة C) في الولايات المتحدة عام 1974. أما اللقاح الحالي رباعي التكافؤ، فتم ترخيص استعماله في عام 1978. بينما تم ترخيص العمل بلقاح المكورات السحائية المقترن في أوروپا، وكان له الأثر الكبير على نسبة حدوث مرض المكورات السحائية بالنمط C في المملكة المتحدة، ومن المتوقع توفر هذا اللقاح في الولايات المتحدة في المستقبل.


الإمراض

تنتقل المكورات السحائية عن طريق القطيرات الضبوبية أو مفرزات البلعوم الأنفي للأشخاص المستعمرين. حيث ترتبط بالخلايا المخاطية للبلعوم الأنفي وتتضاعف فيها. وقد تخترق الجرثومة الخلايا المخاطية عند نسبة قليلة (أقل من 1%) من الأشخاص المستعمرين، وتدخل المجرى الدموي، ومن هناك تنتشر لعدة أعضاء. تعتبر الجراثيم في حوالي 50% من الأشخاص المصابين بتجرثم الدم الحاجز الدموي الدماغي وتصل للسائل الدماغي الشوكي مما يؤدي لحدوث التهاب السحايا القيحي. وقد يكون من العوامل المساهمة في ذلك حدوث انتان علوي تنفسي سابق.

فترة الحضانة

تبلغ فترة حضانة مرض المكورات السحائية 3-4 أيام (يتراوح المجال بين 2-10 أيام).


الأعراض السريرية

إن التهاب السحايا هو التظاهرة الأكثر شيوعاً لمرض المكورات السحائية الغازي، وينجم عن الانتشار الدموي للجراثيم. وهو يشابه الأشكال الأخرى لالتهاب السحايا القيحي الحاد. ويتصف بالبدء المفاجىء للحمى والصداع وصلابة العنق، ويترافق غالباً مع أعراض أخرى مثل الغثيان، والإقياء، ورهاب الضوء، وتبدل الحالة العقلية. يمكن عزل المكورات السحائية من الدم عند أكثر من 75% من الأشخاص المصابين بالتهاب السحايا.

يحدث الانتان بالمكورات السحائية (خمج المجرى الدموي أو إنتان الدم بالمكورات السحائية) بدون التهاب السحايا في 5-20% من أخماج المكورات السحائية الغازية. وتتميز هذه الحالة ببداية مفاجئة للحمى والطفح الحبري أو الفرفري، ويترافق ذلك غالباً مع هبوط الضغط، والصدمة، والنزف الكظري الحاد، وقصور العديد من الأعضاء.

تشمل التظاهرات الأخرى الأقل شيوعاً لمرض المكورات السحائية ذات الرئة (5-15%)، التهاب المفاصل (2%)، التهاب الأذن الوسطى (1%)، والتهاب لسان المزمار (أقل من 1%).

يصل معدل إماتة الحالات 9-12% حتى مع المعالجة المناسبة بالمضادات الحيوية. أما في انتان الدم بالمكورات السحائية، فيتجاوز معدل الإماتة نسبة 40%. ويكون لدى أكثر من 20% من الناجين عقابيل دائمة مثل فقد السمع أو الأذية العصبية أو فقد الطرف.


التشخيص

The growth of Neisseria meningitidis colonies on New York City agar
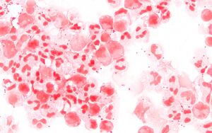
Neisseria meningitidis in cerebrospinal fluid (CSF) seen by Gram stain at 1000× magnification

يتم تشخيص مرض المكورات السحائية الغازي بشكل نموذجي بعزل النيسرية السحائية من المواقع التي تعتبر عقيمة في الحالة الطبيعية. ومع ذلك فقد تكون حساسية الزرع الجرثومي منخفضة خاصة عندما يجرى بعد بدء المعالجة بالمضادات الحيوية. إن ظهور مكورات مزدوجة سلبية الغرام في السائل الدماغي الشوكي الذي جرى تلوينه بملون غرام يقترح بقوة التهاب السحايا بالمكورات السحائية.

إن الكواشف kits المستعملة لكشف المستضد عديد السكاريد في السائل الدماغي الشوكي سريعة ونوعية، لكن نتائجها السلبية الكاذبة شائعة خاصة في حالة الإصابة بالنمط المصلي B. أما الاختبارات المستضدية على البول أو المصل فلا يعول عليها.

يمكن استخدام الاختبارات المصلية (مثل المقايسة المناعية الإنزيمية immunoassay enzyme) الأضداد عديد السكاريد كجزء من التقويم عندما يشتبه بالمكورات السحائية، لكن لا يجوز استعمالها لإثبات التشخيص.

التدبير الطبي

تشبه الصورة السريرية لالتهاب السحايا بالمكورات السحائية الأشكال الأخرى لالتهاب السحايا الجرثومي. وبالنتيجة يجب البدء بالمعالجة التجريبية empiric بالمضادات الحيوية واسعة الطيف (مثل الجيل الثالث من السيفالوسبورينات أو الفانكوميسين) مباشرة بعد أخذ الزروع المناسبة.

إن الكثير من المضادات الحيوية - بما فيها البنسلين - فعالة ضد إنتان النيسرية السحائية. وقد سجلت حالات قليلة من سلالات المكورات السحائية المقاومة للبنسلين في الولايات المتحدة.

يوصي بإعطاء البنسلين وحده حالما يتم التأكد من خمج النيسرية السحائية.


الوبائيات

  • المستودع Reservoir:

الإنسان هو المستودع الطبيعي الوحيد للمكورات السحائية، ويكون حتى 10٪ من المراهقين والبالغين حملة عابرين للنيسرية السحائية دون حدوث أعراض، وإن معظم هذه الجراثيم التي يحملونها غير ممرضة (سلالات غير مصنفة).

  • الانتقال Transmission:

يتم الانتقال بشكل رئيس عن طريق القطيرات التنفسية أو التماس المباشر .


  • النموذج الفصلي Temporal pattern:

يحدث مرض المكورات السحائية طوال العام، ومع ذلك يكون أعلى حدوث للمرض في أواخر الشتاء وبداية الربيع.


  • السراية Communicability:

تكون سراية النيسرية السحائية محدودة بشكل عام. وقد أظهرت الدراسات التي أجريت على العائلات التي أصيب أحد أفرادها بالمكورات السحائية أن 73 - 4٪ فقط من العائلات حدث لديها حالات ثانوية، وأن معظمها حدث فيها حالة ثانوية واحدة فقط. يقدر خطر الانتقال الثانوي عموما ب 2 - 4 حالات لكل 1000 فرد من أفراد الأسر المعرضة للخطر . ومع ذلك فإن هذه النسبة تبلغ 500 - 800 ضعف النسبة عند عامة السكان.


الاتجاهات العامة في الولايات المتحدة

يسجل سنوياً في الولايات المتحدة ما يقارب 2.500 - 3.000 حالة مرضية بالمكورات السحائية (0.8 - 1.3 حالة لكل 100.000 نسمة). وفي عام 2002 أشارت التقديرات إلى حدوث 150 حالة وفاة ناجمة عن مرض المكورات السحائية في الولايات المتحدة. إن الرضع دون عمر 12 شهراً لديهم أعلى معدلات الإصابة بالمرض. وفي حين ينخفض حدوث المرض في الطفولة الباكرة، فإنه يزداد خلال المراهقة وبداية البلوغ، ثم ينخفض عند البالغين الأكبر سناً. ورغم أن الحدوث منخفض نسبياً، فإن أكثر الحالات تحدث عند الأشخاص الذين تتراوح أعمارهم بين 23 - 64 سنة مقارنة مع أية فئة عمرية أخرى. لقد ازداد معدل الحالات عند المراهقين والبالغين الشباب في السنوات الأخيرة، فخلال الفترة ما بين عامي 1992 - 1998 كانت 28% من الحالات المسجلة تنتمي للمجموعة العمرية (12 - 29 سنة).


مرض السحائيات، نسبة الحدوث حسب العمر


لقد تغير معدل المرض الناجم عن مختلف الزمر المصلية للجراثيم خلال ال 15 سنة الأخيرة. فخلال الفترة ما بين عامي 19881991 كانت معظم حالات مرض المكورات السحائية في الولايات المتحدة تعود إما للزمرة المصلية C أو B، بينما شكلت الزمرة المصلية Y نسبة 2% من الحالات فقط. ومع ذلك شكلت الزمرة المصلية Y خلال الفترة ما بين عامي 1996 - 2001 نسبة 21% من الحالات، بينما شكلت الزمرتان المصليتان B و C نسبة 31% و 42٪ بالترتيب. في حين شكلت السلالات غير المصنفة 5% من الحالات.

يختلف معدل الحالات الناجمة عن أية زمرة مصلية حسب الفئة العمرية. ففي عام 2001 كانت 65% من الحالات عند الرضع دون عمر السنة ناجمة عن الزمرة المصلية B التي لا يتوفر لها لقاح في الولايات المتحدة. في حين كانت نسبة 41% من الحالات التي حدثت في عمر 18 - 34 سنة ناجمة عن الزمرة المصلية B، ونسبة 25% ناجمة عن الزمرة المصلية C، ونسبة 14% ناجمة عن الزمرة المصلية Y.


مرض المكورات السحائية في الولايات المتحدة


تشمل عوامل الخطورة لتطور مرض المكورات السحائية أعوان السبيل المشترك النهائي للمتممة واللاطحالية (غياب الطحال asplenia) الوظيفية أو التشريحية. كذلك فإن الأشخاص المصابين بخمج ‏HIV معرضون على الأغلب لخطر كبير للإصابة بمرض المكورات السحائية. ويمكن لبعض العوامل الوراثية (مثل تعدد الأشكال polymorphism في جينات المانوز الرابط للكتين -mannose binding lectin وعامل نخر الورم tumor necrosis factor) أن تشكل عوامل خطورة أيضاً.

إن أفراد أسرة الشخص المصاب بمرض المكورات السحائية معرضون لخطر زائد للإصابة. كذلك فإن الإنتان التنفسي السابق والازدحام ضمن الأسرة والتدخين الفاعل والمنفعل تترافق جميعها مع زيادة خطر مرض المكورات السحائية. وفي الولايات المتحدة يكون الأشخاص السود والأشخاص ذوو الحالة الاجتماعية والاقتصادية المنخفضة معرضين بشكل ثابت وكبير لخطر الإصابة بمرض المكورات السحائية. ومع ذلك فإن العرق والحالة الاجتماعية الاقتصادية المتدنية هما على الأغلب دلالتان على الاختلافات في عوامل الخطورة مثل الازدحام ضمن الأسرة أكثر من كونهما عوامل خطورة منفصلة. وأثناء الجائحات يترافق ارتياد حانات المشروبات الكحولية bar والنوادي الليلية nightclub واستخدام الكحول مع خطر الإصابة بالمرض بشكل كبير.

تم تسجيل حدوث حالات مرض المكورات السحائية الغازي (بما فيها حالتان قاتلتان على الأقل) عند اختصاصي الميكروبيولوجيا microbiologists. وقد حدثت هذه الحالات عند الأشخاص الذين يعملون على عزل النيسرية السحائية أكثر من الذين يعملون على أخذ العينات من المرضى.

لقد أظهرت الدراسات الحديثة أن طلاب الكليات المستجدين الذين يقيمون في السكن الجامعي معرضون لزيادة خفيفة في خطر الإصابة بمرض المكورات السحائية. ومع ذلك فإن طلاب الكليات في الولايات المتحدة ليسوا معرضين لخطورة عالية للإصابة بمرض المكورات السحائية أكثر من بقية الأشخاص بنفس العمر.


النايسريات السحائية. عوامل الخطورة للإصابة بالمرض الغازي


تشكل جالحات outbreaks المكورات السحالية في الولايات المتحدة أقل من 5% من الحالات المسجلة (95 ٪ - 97 % من الحالات فرادية). ولكن منذ عام 1991 ازداد تواتر الجائحات المحلية وقد نجم معظم هذه الجائحات عن الزمرة المصلية C. ومنذ عام 1997 أخذت تُسجّل ايضاً جائات محلية ناجمة عن الزمرتين المصليتين Y و B.

تحدث الجائحات الكبيرة بالزمرة المصلية A من المكورات السحائية في أفريقيا (حزام التهاب السحايا) وهي المناطق الممتدة من إثيوبيا وحتى السنغال. إن معدلات استيطان مرض المكورات السحائية في هذه المناطق أعلى بعدة مرات مما هي عليه في البلاد الصناعية. إضافة لذلك تحدث الجائحات كل 8 - 12 سنة وبمعدل هجمات يتراوح بين 500 - 1000 حالة لكل 100.000 نسمة.


لقاح المكورات السحائية عديد السكاريد (MPV)

  • الخصائص:

تم ترخيص العمل بأول لقاح مكورات سحائية عديد السكاريد (meningococcal (MP۷ polysaccharide vaccine في الولايات المتحدة عام 1974. أما لقاح المكورات السحائية عديد السكاريد رباعي التكافؤ W135 ، Y ، C ، A الحالي Menomune الذي تصنعه شركة Aventis Pasteur فقد تم ترخيص العمل به في الولايات المتحدة في عام 1978، وهو المستحضر الوحيد المتوفر حالياً في الولايات المتحدة. تتكون كل جرعة من هذا اللقاح من 50 مكغ من عديدات السكاريد المحفظية المنقاة المأخوذة من الزمر المصلية الأربع السابقة.

لقاح المكورات السحائية عديد السكاريد


يحتوي اللقاح على اللاكتوز كمادة مثبتة stabilizer، و هو متوفر على شكل فلاكونات vials فردية (أحادية الجرعة) أو جماعية (مؤلفة من 10 جرعات). أما الفلاكونات المحتوية على 50 جرعة، فلم تعد متوفرة. إن المحلول المخفف diluent (سائل الحل) لفلاكونة الجرعة الواحدة هو الماء المعقم دون أية مادة حافظة، في حين أن المحلول المخفف للفلاكونة المؤلفة من 10 جرعات هو الماء المعقم مع الثيميروسال thimerosal المضاف كمادة حافظة. يصبح اللقاح بعد تحضيره سائلاً صافياً عديم اللون. تجدر الإشارة إلى عدم وجود لقاح للزمرة المصلية B في الولايات المتحدة.


استمناع اللقاح وفعاليته

تشبه خصائص MPV خصائص لقاحات عديدات السكاريد الأخرى (مثل لقاح المكورات الرئوية عديد السكارید) . إن اللقاح غير فعال عند الأطفال دون عمر 18 شهراً. وتعتبر الاستجابة للقاح استجابة مستقلة عن الخلايا التائية ومرتبطة بالعمر، حيث يكون هناك ضعف بالقدرة التمنيعية عند الأطفال الذين تقل أعمارهم عن السنتين. بالإضافة لذلك لا يحدث تعزيز لعيار الأضداد عند تكرار الجرعات، حيث تكون الأضداد المنتجة من نوع IgM قليلة الألفة affinity ويكون التحول من إنتاج IgM إلى IgG ضعيفاً.

يتم الوصول للمستويات المحصنة للأضداد عادة خلال 7 10 أيام من التلقيح. وتتناقص مستويات الأضداد القابلة للقياس المتشكلة ضد عديدات سكاريد الزمرتين المصليتين A و C عند الرضع والأطفال الذين تقل أعمارهم عن 5 سنوات تناقصاً حقيقياً خلال السنوات الثلاث الأولى التالية لإعطاء جرعة واحدة من اللقاح. كذلك تنخفض مستويات الأضداد عند البالغين الأصحاء لكنها تظل قابلة للتحري لمدة 10 سنوات بعد التلقيح. ورغم أن التحصين المحرض باللقاح يستمر عند الأطفال الذين في سن المدرسة وعند البالغين لمدة 3 سنوات على الأقل فإن فعالية لقاح الزمرة A عند الأطفال الذين تقل أعمارهم عن 5 سنوات قد تنقص بشكل ملحوظ خلال هذه الفترة.


وقد انخفضت الفعالية في إحدى الدراسات من أكثر من 90٪ إلى أقل من 10٪ بعد 3 سنوات من التلقيح، وذلك عند الأطفال الذين تم تلقيحهم عندما كانت أعمارهم أقل من 4 سنوات. بينما كانت الفعالية 7.67% عند الأطفال الذين كانت أعمارهم تزيد عن 4 سنوات عند التلقيح.


جدول التلقيح والاستعمال

يستخدم MPV سواء عند الأطفال أو البالغين بجرعة واحدة قدرها 0.5 مل تعطى تحت الجلد. يمكن إعطاء اللقاح في نفس الوقت مع اللقاحات الأخرى، لكن يجب إعطاؤه في مكان تشریحي مختلف.

لا يوصى بالتلقيح الروتيني بلقاح MPV للمدنيين civilians؛ نظراً لكونه غير فعال نسبياً عند الأطفال الذين تقل أعمارهم عن السنتين (وهي الفئة العمرية ذات الخطورة الأعلى للإصابة الفردية) إضافة إلى قصر فترة التحصين نسبياً.


يوصى بالتلقيح بلقاح MPV عند بعض المجموعات عالية الخطورة والتي تشمل الأشخاص المصابين بأعواز المكونات الأنتهائية للمتممة أو المصابين بانعدام الطحال الوظيفي أو التشريحي. كذلك يجب مراعاة تلقيح العاملين في المخابر السريرية والصناعية ومخابر الأبحاث الذين يتعرضون بشكل روتيني للنيسرية السحائية في المحاليل التي يمكن أن تتحول إلى شكل ضبوبي.

يجب على عمال المخابر أيضاً أن يتخذوا احتياطات مخبرية مناسبة (المستوى الثاني من السلامة الحيوية) خاصة عندما يعملون في عزل الجراثيم.

قد يكون التلقيح بلقاح MPV مفيداً للمسافرين إلى المناطق الموبوءة ولمواطني الولايات المتحدة المقيمين في المناطق عالية الاستيطان أو الموبوءة بالنيسرية السحائية خاصة إذا ما كان الاختلاط مع السكان المحليين مديداً.

جدول لقاح السحائيات عديد السكاريد


تحدث الأوبئة المتكررة بمرض المكورات السحائية في المناطق الواقعة تحت الصحراء الأفريقية أو ما يدعى بحزام التهاب السحايا meningitis belt (الذي يمتد من إثيوبيا شرقاً وحتى السنغال غرباً). وغالباً ما تحدث الأوبئة في حزام التهاب السحايا خلال الفصل الجاف (أي بين شهري كانون الأول وحزيران)، لذلك يوصى بتلقيح المسافرين الذين يزورون تلك المناطق خلال هذا الوقت. هذا ويمكن الحصول على المعلومات المتعلقة بالمناطق الجغرافية التي يوصي فيها بالتلقيح من موقع صحة المسافرين في مراكز السيطرة على الأمراض على شبكة الإنترنت.


المناطق المتوطنة بالمكورات السحائية


يوصى باستعمال لقاح المكورات السحائية عديد السكاريد للسيطرة على جائحات المكورات السحائية. تعرف الجائحة بحدوث ثلاث حالات مرضية بالمكورات السحائية (مؤكدة أو مرجحة) أو أكثر خلال فترة تقل عن 3 أشهر مع معدل هجمات بدئي ناتج عن المكورات السحائية يساوي أو يزيد عن 10 حالات لكل 100.000 نسمة.

توصيات التلقيح بلقاح السحائيات عديد السكاريد


تعتمد هذه التوصيات على الخبرة بجائحات المكورات السحائية بالزمرة المصلية C، لكن يمكن تطبيق هذه المبادئ على الجائحات الناجمة عن الزمر المصلية الأخرى للمكورات السحائية والتي يمكن الوقاية منها باستخدام اللقاح.

إن طلاب الكليات المستجدين خاصة الذين يقيمون في السكن الجامعي معرضون لزيادة خفيفة بخطر الإصابة بمرض المكورات السحائية مقارنة مع الأشخاص من نفس الأعمار غير المداومين في الكليات. ومع ذلك لا توصي اللجنة الاستشارية حول ممارسات التمنيع ACIP بالتلقيح الروتيني بلقاح MPV لكل طلاب الكليات أو الطلاب المستجدين أو الطلاب المقيمين في السكن الجامعي. لكنها توصي بأن يقوم مقدمو الرعاية الصحية خلال الرعاية الصحية الروتينية بإخبار الطلاب الحاليين والمستجدين خاصة الذين يخططون للإقامة في السكن الجامعي أو الذين يعيشون فيه واخبار أهاليهم كذلك عن مرض المكورات السحائية وفوائد التلقيح. كذلك لا توصي هذه اللجنة بإحداث أية تغيرات خاصة في أماكن معيشة هؤلاء الطلاب المستجدين.


إعادة التلقيح

قد يستطب اللجوء لإعادة التلقيح عند الأشخاص ذوي الخطورة العالية للإصابة بالخمج (مثل الأشخاص المقيمين في بلاد يستوطن فيها المرض) خاصة عند الأطفال الذين تم تلقيحهم أول مرة بعمر أقل من 4 سنوات. يجب أن يؤخذ بالاعتبار إعادة تلقيح مثل هؤلاء الأطفال بعد 2 - 3 سنوات إذا ما بقوا معرضين للخطورة العالية. أما عند الأطفال الأكبر والبالغين فإن الحاجة لإعادة التلقيح غير محددة، و رغم الانخفاض السريع للأضداد خلال 2 - 3 سنوات فإن إعادة التلقيح يمكن أن تؤخذ بالاعتبار بعد 3 - 5 سنوات من تلقي الجرعة الأولى من اللقاح إذا ما بقي استطباب التلقيح موجوداً.

إن استمرار الدوام في الكليات أو استمرار الإقامة في السكن الجامعي لا يعتبران استطبابين لإعادة التلقيح بغياب الاستطبابات الأخرى (مثل انعدام الطحال).


إعادة التلقيح بلقاح السحائيات عديد السكاريد


الارتكاسات الجانبية التالية للتلقيح

تكون الارتكاسات الجانبية للقاح MPV خفيفة عموماً، وأكثرها شيوعاً الارتكاسات الموضعية مثل الألم والاحمرار في مكان الحقن. تستمر هذه الارتكاسات يوم أو يومين، وتحدث عند 5 % - 10 ٪ من الملقحين. سجلت الارتكاسات الجهازية مثل الصداع والدعث malaise عند 2 % - 5 ٪ من متلقي اللقاح، في حين تحدث الحمى الخفيفة عند أقل من 3٪ من الملقحين. أما الارتكاسات الشديدة للقاح المكورات السحائية عديد السكاريد فنادرة.


مضادات استطباب التلقيح ومحاذيره

يعتبر الارتكاس الأرجي الشديد (التأقي) لمكونات اللقاح أو التالي لجرعة سابقة من لقاح المكورات السحائية عديد السكاريد مضاد استطباب لتلقي جرعات أخرى من اللقاح. أما وجود مرض حاد معتدل الشدة أو شديد فيعتبر مبرراً لتأجيل التلقيح الروتيني، في حين لا يعتبر المرض الخفيف مبرراً للتأجيل. كما لا يعتبر الحمل أو الإرضاع الوالدي أو الكبت المناعي مضادات استطباب للتلقيح.


خزن اللقاح والتعامل معه

يجب أن ينقل لقاح MPV بناقلات معزولة لمنع تعرضه لحرارة التجميد. و يتم تخزينه بحرارة البراد (35 ° ف - 46 ° ف). و يجب عدم تعريض اللقاح لحرارة التجميد.

يجب أن تستعمل فلاكونات vials الجرعة الواحدة من MPV خلال 30 دقيقة من تحضير اللقاح. أما الفلاكونات متعددة الجرعة فيجب إتلافها بعد 10 أيام من تحضيرها.

ترصد مرض المكورات السحائية والتبليغ عنه

يعتبر مرض المكورات السحائية من الأمراض الواجب التبليغ عنها. ويجب على كل العاملين في الرعاية الصحية تبليغ الجهات الصحية المختصة عن أية حالة مرضية بالمكورات السحائية.


الوقاية الكيماوية بمضادات المكروبات

إن الوسيلة الأولى للوقاية من الحالات الفرادية لمرض المكورات السحائية في الولايات المتحدة هي إعطاء الوقاية الكيماوية بالمضادات الحيوية للأشخاص المخالطين بشكل وثيق لأحد الأشخاص المصابين. يتضمن المخالطون بشكل وثيق المجموعات التالية: وهي أفراد الأسرة والمخالطون في مراكز الرعاية اليومية وأي شخص تعرض مباشرة لمفرزات المريض الفموية (مثلاً عن طريق التقبيل أو الإنعاش الفموي الفموي أو التنبيب الرغامى أو التعامل مع أنبوب التبيب الرغامی). إن معدل المرض الثانوي عند المخالطين بشكل وثيق يكون في أعلى درجاته خلال الأيام القليلة الأولى بعد بدء المرض عند الحالة الأولى index patient لذلك يجب استخدام المضادات الحيوية كوقاية كيماوية بأسرع ما يمكن وبشكل مثالي خلال 24 ساعة من التعرف على الحالة الأولى. أما البدء بالوقاية الكيماوية بعد اليوم 14 من بداية المرض عند الحالة الأولى فيكون على الأرجح محدود القيمة أو لا قيمة له. لا يفيد إجراء زرع من البلعوم الفموي أو من البلعوم الأنفي في تحديد مدى الحاجة للوقاية الكيماوية، و قد يؤدي هذا الإجراء إلى تأخير (لا ضرورة له) في البدء بالمعالجة الوقائية.

إن الريفامبين والسيبروفلوكساسين والسيفترياكسون تعتبر جميعها فعالة في إنقاص حمل النيسرية السحائية في البلعوم الأنفي بنسبة 90 % - 95 ٪، وتعتبر كلها بدائل مقبولة في الوقاية الكيماوية. إن المعالجة الجهازية لمرض المكورات السحائية بالمضادات الحيوية (ماعدا السيفترياكسون والجيل الثالث من السيفالوسبورينات) قد لا تستأصل بشكل موثوق حمل النيسرية السحائية من البلعوم الأنفي. وفي حال استعمال أدوية أخرى في المعالجة فيجب أن يتلقى المريض المصاب وقاية كيماوية بالمضادات الحيوية من أجل استئصال الجراثيم المحمولة في البلعوم الأنفي قبل مغادرته المشفى.

انظر أيضاً

المراجع

المصادر

  • <ref>د. عماد محمد زوكار، د. محمد أحمد نوح: المرجع الشامل في اللقاحات. دار القدس للعلوم، الطبعة الأولى 2005. </ref

وصلات خارجية

  • "Neisseria meningitidis". NCBI Taxonomy Browser. 487.
  • Type strain of Neisseria meningitidis at BacDive - the Bacterial Diversity Metadatabase