المعرفة:مقالة اليوم المختارة/04-09-2024

سرطان الغدة الدرقية الحليمي..

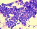
سرطان الغدة الدرقية الحليمي، هو أكثر أنواع سرطانات الغدة الدرقية شيوعاً، ويمثل 75-85% من جميع حالات سرطان الغدة الدرقية. يحدث بشكل أكثر تواتراً بين النساء وأكثر شيوعاً في الفئة العمرية 20-55. وهو أيضاً نوع السرطان السائد لدى الأطفال المصابين بسرطان الغدة الدرقية، ولدى مرضى سرطان الغدة الدرقية الذين تعرضوا لإشعاعات سابقة في الرأس والعنق. وعادة ما يكون عالي التمايز، بطيء النمو، ومتمركز، على الرغم من إمكانية انتقاله لأماكن أخرى في الجسم. تبقى الجراحة الدعامة الأساسية للعلاج، والتي تكون إما باستئصال الغدة الدرقية بشكل كلي أو جزئي، تبعاً لمرحلة المرض ومدى انتشاره.