المتلازمة الإنحلالية البولية

المتلازمة الإنحلالية البولية
Classification and external resources
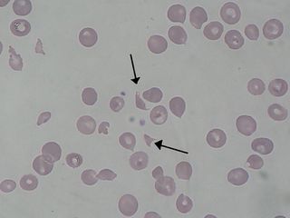
Schizocytes as seen in a person with hemolytic-uremic syndrome
ICD-10D59.3
ICD-9283.11
OMIM235400
DiseasesDB13052
eMedicineped/960
MeSHD006463

المتلازمة الإنحلالية البولية (أو haemolytic-uraemic syndrome), بإختصار HUS, هو مرض يتميز بفقر الدم الانحلالي , الفشل الكلوي الحاد (يوريميا) و إنخفاض عدد الصفائح الدموية (ثرومبوسيتوبينيا) أو قلة خثرات الكريات الدموية انها في الغالب لا تؤثر على الأطفال بشكل حصري. ومعظم الحالات تسبقها إصابات بالإسهال التي تسببها بكتيريا الإيشيرشيا القولونية O157 : H7 إى كولاي O157 : H7 , التى تنتقل بما يعرف بالأمراض المنقولة بالغذاء وهى حالة طبية طارئة وتحدث وفيات بنسبة 5-10 ٪؛ وتتعافى بقية الحالات، في الأغلب دون عواقب كبيرة ولكن نسبة صغيرة, يحدث لديها تطوير مرض كلوى مزمن وأصبحت تعتمد على العلاج بعمليات إستبدال كلوي .[1] وكان أول تعريف اتش يو اس كمتلازمة في 1955.[2][3]

الظواهر والأعراض

فى الأطفال

اتش يو اس هي واحدة من الإعتلال التخثري للأوعية الدموية الدقيقة، وهي فئة من الاضطرابات التي تشمل نقص الصفيحات التخثرى الفرفرى thrombotic thrombocytopenic purpura (TTP).

حالة كلاسيكية من اتش يو اس الخاصة باللأطفال تحدث بعد الإسهال الدموي التي تسببها سلالة من الإيشريشياالقولونية التي تفرز فيروتوكسين (وتسمى أيضا شيغا مثل السم) الذي يعرف باسم الإيشريشياالقولونيةمنتجة شيجا توكسين أو (STEC) أو enterohemorrhagicالإيشريشياالقولونية مسببة النزف المعوى (EHEC). اتش يو اس تتبع شكل عدوى الإنفلونزا أو بادرة الجهاز الهضمي (GI) مع مظاهر النزف (وخاصة قيء دموى و ميلينا) ، و قلة تبول شديدة ، بيلة دموية ، وهو فقر الدم الانحلالي اعتلال الأوعية الدموية الدقيقة ، و (في بعض المرضى) تغيرات عصبية بارزة.[4] وهناك شكل أقل شيوعا من اتش يو اس (~ 10 ٪ من الحالات) لا يتبع عدوى (STEC) ويعتقد أنها تنجم عن نقص عامل H(تكملة بروتين تنظيمية)أن النتائج غير المنضبط في التفعيل تكمن بعد الضرر الناجم من تخثر البطانة.[5]

في الشكل الكلاسيكي (90 ٪ من الحالات)، التوكسين STEC يدخل مجرى الدم ويسبب ضررا لبطانة الأوعية الدموية في الجسم. وهذا يسبب ضررا ولا سيما في الكلى, حيث التوكسين يلتصق على بطانة كبيبات الكلى ويبدأ رد الفعل اللإلتهابى المؤدي إلى الفشل الكلوي الحاد. وعلاوة على ذلك، فإن الضرر الغشائي العام يؤدي إلى تنشيط الصفائح الدموية الذي يسبب thrombocytopenia ثرومبوسيتوبينيا (انخفاض عدد الصفائح).[بحاجة لمصدر]

شيغا شبيه التوكسين 2 (Stx2) من Escherichia coli O157:H7. من PDB 1R4P.

أنظر أيضا

الهامش

  1. ^ Corrigan JJ, Boineau FG (2001). "Hemolytic-uremic syndrome". Pediatr Rev. 22 (11): 365–9. PMID 11691946. {{cite journal}}: Unknown parameter |month= ignored (help)
  2. ^ Anagnou NP, Papanicolaou N, Fessas P (1991). "Recurrent attacks of hemolytic uremic syndrome". Haematologia (Budap). 24 (2): 101–5. PMID 1816053.{{cite journal}}: CS1 maint: multiple names: authors list (link)
  3. ^ GAsser C, Gautier E, Steck A, Siebenmann RE, Oechslin R (1955). "Hemolytic-uremic syndrome: bilateral necrosis of the renal cortex in acute acquired hemolytic anemia". Schweiz Med Wochenschr (in German). 85 (38–39): 905–9. PMID 13274004. {{cite journal}}: Unknown parameter |month= ignored (help)CS1 maint: multiple names: authors list (link) CS1 maint: unrecognized language (link)
  4. ^ Robbins Basic Pathology, 7th edition
  5. ^ Kumar et al., Robbins Basic Pathology, 8th Edition; ISBN 978-1-4160-2973-1

وصلات خارجية