التهاب المفاصل الرثياني (مقالة مميزة)

الرومـاتوتـيد

يد عليها أعراض مرض الروماتويد
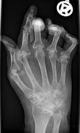
أشعة اكس على يد مصابة بالروماتويد

التهاب المفاصل الرثياني أو الروماتويد Rheumatoid arthritis (RA) ، هو أحد الالتهابات المزمنة التي تنشأ من خلل في الجهاز المناعي للجسم، وتصيب الأغشية المبطنة للمفاصل ، خاصة المفاصل الصغيرة مثل مفاصل اليدين و الرسغين ، وفي الحالات المتأخرة قد يزيد الوضع ويتفاقم ليحدث تلفاً تدريجياً للمفاصل واعوجاجاً وتشوهاً في بعضها. هذا المرض يصيب الإناث أكثر من الذكور والسبب الأساسي غير معروف ولكن هناك دراسات تشير إلى عمل جهاز المناعة ضد أنسجة الجسم من ضمنها المفاصل.

ويتميز مرض الروماتويد بأنه يبدأ تدريجياً بتيبس والتهاب مفاصل اليدين والساقين في الصباح الباكر، ثم يلاحظ انحراف في مسار اليد عكس الجسم مع خلع في مفاصل اليد، ووجود بثور على سطح الجلد للساقين بنسبة 20%، مع الآم متواصلة، خاصة أثناء النوم وفقدان حركة المفصل، وأخيراً إصابة المفاصل في أنحاء متفرقة من الجسم بتشوهات مثل مفاصل اليدين والركبتين والكاحلين والرقبة والحوض.

ويتم التأكد من التشخيص بعمل فحص للدم والذي يشير هنا إلى ارتفاع في نسبة ترسب الدم ESR ووجود عامل الروماتويد RF وكذلك وجود سي ـ ر ـ بروتين CRP وكذلك عمل أشعة سينية وهي توضح هنا تغيرات في المفاصل مثل تآكل المفاصل وتشوهها وهشاشة العظام.

أماالعلاج فيبدأ تحفظياً بإعطاء المريض المسكنات ومضادات الالتهابات الخاصة بالروماتيود، إضافة إلى العلاج الطبيعي بصفة مستمرة مع عمل تمارين على أداء الأعمال اليومية، ولبس ساندات خاصة بالروماتويد للمساعدة على منع ازدياد التشوهات وعلى أداء عمل المفاصل.

ويجب التعامل مع هذا المرض مبكراً منذ بداية اكتشافه وبأكثر من دواء في نفس الوقت مثل أقراص الميثوتركسات وأدوية الملاريا والكورتيزون الذي يجب أن يستخدم بإشراف الطبيب وبطريقة حذرة ومقننة. وأخيراً العلاج الجراحي للحالات المستعصية ومنها زراعة المفاصل.