آشعة سينية

(تم التحويل من X-rays)
يد بخاتم: طبعة لأول آشعة سينية "طبية" أخذها ڤيلهلم رونتگن، وكانت ليد زوجته، وقد أخذها يوم 22 ديسمبر 1895، وقدمها إلى پروفسور لودڤيگ تسـِندر بمعهد الفيزياء، بجامعة فرايبورگ، في 1 يناير 1896[1][2]

أشعة اكس أو الأشعة السينية ، هي أحد أنواع الأشعة الكهرومغناطيسية. ولأشعة اكس طول موجي في حدود من 10 إلى 0.01 نانومتر ، المقابل للترددات في حدود 30 پيتاهرتز إلى 30 اكساهرتز (30 × 1015 Hz to 30 × 1018 Hz) و طاقة في حدود 120 ا.ڤ إلى 120 ك.ڤ. والطول الموجي لأشعة اكس أقصر من الأشعة الفوق بنفسجية. وفي الكثير من اللغات تسمى باسم أشعة رونتگن على اسم مكتشفها الأول ڤيلهلم رونتگن والذي أطلق عليها اسم أشعة اكس والتي تعني الأشعة المجهولة.[3]:1-2

التاريخ

اكتشاف أشعة أكس

في عام 1895 اكتشف عالم ألماني اسمه ويليام رونتجن (Wilhelm Roentgen) اشعة أكس , فبينما كان يجرى تجربة تسليط شعاع إلكتروني على أنبوبة تأين غازي (gas discharge tube) لاحظ العالم رونتجن أن الشاشة الفوسفورية في المختبر بدأت تتوهج عند اصطدام شعاع الإلكترونات عليها. هذه النتيجية في حد ذاتها لم تكن مدهشةً حيث كان من المعلوم أن تتوهج الشاشة الفوسفورية بفعل الشعاع الإلكتروني ولكن رونتجن أحاط الأنبوبة المفرغة بألواح سوداء سميكة لتتمكن من حجب الإشعاع الكهرومغناطيسي المنبعث من الأنبوبة المفرغة، كما وضع رونتجن عدة أجسام بين الأنبوبة والشاشة الفوسفورية وكانت النتيجة أن الشاشة الفوسفورية لازالت تتوهج. وحتى يتأكد من أن هناك أشعةً جديدةً هي التي اخترقت تلك الأجسام ووصلت للشاشة الفوسفورية قام رونتجن بتجربة إضافية حيث وضع يده أمام الأنبوبة المفرغة وشاهد على الشاشة الفوسفورية صورةً لعظام يده، لاحظ هنا أن رونتجن اكتشف أشعةً جديدةً هي أشعة x وفي نفس الوقت اكتشف أحد أهم تطبيقاتها .

وقد جاء اكتشاف أشعة إكس ليفتح الطريق أمام قراءة أكثر تمعناً ومناظرة أشد دقة للأعضاء والأحشاء والتلافيف الداخلية التي ينطوي عليها الجسم البشري. وبعدها استحق المكتشف الألماني رونتجين الفوز بجائزة نوبل الرفيعة في الفيزياء في عام 1901 وكانت هي الأولى في هذا الفرع منذ إنشاء الجائزة على الإطلاق. بعدها شهدت لندن في عام 1905 نشر أول كتاب عن فحص الصدر بالأشعة الجديدة.. وحين اندلعت الحرب العالمية الأولى في عام 1914 دخلت إلى حلبة هذا الفرع من العلم عالمة شهيرة وقتها هي ماريا سلولودفسكا المعروفة لنا باسم مدام كوري. وكانت قد هاجرت من وطنها الأصلي في بولندا وعاشت مع زوجها الفيزيائي الفرنسي بيير كوري، وتعاون العالمان على دراسة خواص اليورانيوم وعلوم الإشعاع فكان أن اكتشفا مادتي البلوتونيوم والراديوم وفازا معاً بجائزة نوبل في عام 1903. وبعد وفاة الزوج واصلت ماري كوري بحوثها بدأب وإخلاص من أجل استخدام نتائج البحوث الإشعاعية في مجال الطب فكان أن فازت من جديد – وحدها هذه المرة - بجائزة نوبل في الكيمياء عام 1911. وحين شبت نيران الحرب العظمى دعت البروفيسور ماري كوري إلى إنشاء وحدات أشعة متنقلة لمعالجة الجنود من جرحى الحرب وتبرعت بجزء من التكاليف لصالح الجيش الفرنسي.

تطور استخدام أشعة إكس

Diagram of a water cooled X-ray tube. (simplified/outdated)

وهكذا تطورت مسألة الأشعة من مجرد تيسير وتدقيق التشخيص.. لكي يبدأ استخدام العلاج الإشعاعي (الراديولوجي) في علاج أخطر الأمراض. وفي عام 1920 تألفت أول جمعية لاختصاصيي علاج الأشعة. وفي عام 1924 نشر جلبرت ستيد أول كتاب علمي لصالح طلاب الطب من دارسي هذا التخصص وكان عنوانه (الفيزياء الأولية). وقد شهد عام 1937 الانعطافة الكبرى على طريق استخدام الأشعة جذرياً في خدمة العلاج حين بدأ الدكتور جوزيف هاملتون الأميركي في استخدام مادة اليود المشع لتشخيص وعلاج مرض الغدة الدرقية. في نفس عام 1937 عولج أول مريض مصاب بسرطان الدم في مستشفى جامعة كاليفورنيا – بيركلي وكان هذا أول استخدام علاجي للإشعاع من أجل مداواة داء السرطان بكل خطورته المعروفة. رحلة طويلة قطعها هذا التخصص منذ اكتشافات رونتجن في عام 1895 وعلى مدار كل سنوات القرن العشرين.. ولم يكن أمر استخدام الأشعة أو التعامل معها ليقتصر على نخبة الفيزيائيين أو الكيميائيين أو حتى الأطباء. لقد استوعب هذا الميدان مهارات وتخصصات أخرى ضمت طوائف من مصوري الأشعة والأطباء الاختصاصيين وأهل الهندسة الطبية وممارسي أعلى مستويات التمريض.. ذلك لأن التخصص ارتبط ربما أكثر من غيره بكل ما كان التقدم التكنولوجي يطرحه من تطورات وابتكارات في هذا الميدان.. وهكذا دخل استخدام الحاسوب والتكنولوجيا الرقمية (ديجيتال) والموجات فوق الصوتية وموجات الرنين الصوتي. لكن الأمر ظل يتمحور من قبل ومن بعد على أن اكتشف رجل ألماني منذ 117 سنة وسيلة للكشف عن أسرار التكوين المعجز لفطرة الجسم البشري.. بمعنى أن بدأ الأمر بمحاولة الحصول على ما يمكن أن نصفه بأنه صورة من الداخل.. وربما كان ذلك شغفا متأصلا تحفزه ملكة الفضول في نفس الإنسان. نفس الفضول الذي دفع مكتشفاً آخر إلى أن يحصل على الصورة ثلاثية الأبعاد وهي الصورة التي تتغير معالمها كلما غيرت نظرتك إليها وكأنما أضيفت عليها لمسة ديناميكية من حياة وقد أضحت في أيامنا شائعة الاستخدام في مجالات الترفية والإعلان بالدرجة الأولى وتحمل اسم هو لوغرام المشتق من العبارة اليونانية بمعنى «الكتابة المكتملة». وقد توصل إليها فيزيائي.. مجري هذه المرة مولود في بودابست عام 1900 واستخدم في تركيبها أشعة الليزر. كان اسمه دينيس غابور وقد عمل استاذا في كلية العلوم والتكنولوجيا في لندن وارتبط اسمه بعدد يقرب من 100 فكرة واختراع إلى أن حصل بدوره على جائزة نوبل في الفيزياء عام 1971 وكان ذلك قبل رحيله عن الدنيا بثمانية أعوام. [4]

التعريف

A male technician taking an x-ray of a female patient in 1940. This image was used to argue that exposure to radiation during the x-ray procedure would be a myth.

اكتشف ڤيلهلم رونتگن الأشعة السينية عام 1895، وأعطاها اسم الأشعة السينية أو المجهولة (أشعة X) لجهله طبيعتها آنذاك، ويطلق عليها بعضهم اسم أشعة رونتغن تخليداً لذكراه. وقد لاحظ رونتگن أن هذه الأشعة ذات طبيعة نافذة تؤثر في ألواح التصوير الحساسة للضياء على الرغم من سترها بطبقات متعددة من الورق المقوى، وأنها تنطلق من جدران أنبوب زجاجي مفرغ من الهواء تمر بين طرفيه شرارة كهربائية. [5]

وأشعة اكس في الأساس مثل الاشعة المرئية حيث انها جزء من الطيف الكهرومغناطيسي ولكن اشعة اكس تحمل طاقة أكبر من طاقة الاشعة المرئية بكثير. ولشرح ذلك دعنا نجري مقارنة بين الأشعة الرئية وأشعة اكس، يمكن التمييز بين هذين النوعين من الاشعة من حيث طاقة الفوتون أو الطول الموجي أو التردد وكل تلك الكميات ترتبط مع بعضعها البعض من خلال المعادلات التالية:

الطيف الكهرومغناطيسي: تزداد طافة الفوتونات من اليسار لليمين
  • طاقة الفوتون = ثابت بلانك x التردد E = hv
  • التردد = سرعة الضوء / الطول الموجي v = C/L

تمتاز أشعة إكس بان طاقة فوتوناتها أكير من طاقة فوتونات الأشعة المرئية وهذا يعني أن ترددها كبير وطولها الموجي قصير.تستطيع العين البشرية الرؤية من خلال الأشعة المرئية لأن الله سبحانه وتعالى حدد لنا هذا الجزء من الطيف الكهرومغناطيسي ففيه نستطيع الرؤية والتمتع بحاسة البصر من خلاله , وبالتالي تعتبر أشعة إكس أشعةً غير مرئية بالنسبة لنا مثلها مثل أشعة الراديو والأشعة تحت الحمراء والأشعة فوق البنفسجية ولكن الفرق بين كل تلك الأشعة هي خواصها من ناحية طاقة الفوتون والتردد والطول الموجي لها.

وحدات القياس والتعرض

ROSAT image of X-ray fluorescence of, and occultation of the X-ray background by, the Moon.

إنبعاث الأشعة

تصدر الأشعة السينية في كل مرة تتعرض فيها المادة للاصطدام بإلكتروناتٍ سريعة ذات قدرة حركية عالية. ويتألف أنبوب الأشعة الحديث من زجاج مفرغ من الهواء يحوي سلك وشيعة قابلاً للتوهج هو المهبط cathode، وقطعة من المعدن هي المصعد anode. وعندما يتوهج السلك بازدياد درجة حرارته عند تطبيق تيار كهربائي على طرفيه، تصدر عنه إلكترونات عدة بفعل الحادثة الفيزيائية المعروفة بالإصدار الحراري الشاردي (الإيوني)، فإذا طبق فرق كمون عال بين هذا السلك المتوهج (المهبط) والقطعة المعدنية (المصعد) تتسارع حركة الإلكترونات وتتجه نحو المصعد لترتطم به وتصدر عن هذا الارتطام فوتونات ذات طاقة متفاوتة يؤلف مجموعها الأشعة السينية وكمية كبيرة من الحرارة توجب تبريد المصعد تبريداً مستمراً، إذ إن الأشعة السينية الصادرة تكوّن 1% من طاقة الإلكترونات الحركية عند اصطدامها بالمصعد ويضيع القسم الأكبر من هذه الطاقة حرارياً.

تتألف الأشعة السينية الناجمة عن تصادم الإلكترونات والمادة من نوعين رئيسين يكون الأول منهما طيفاً متصلاً لأشعة ذات أطوال موجية متقاربة لا علاقة لها بنوع المادة الكيمياوي للمصعد، في حين يتمتع الثاني بطول موجة خاص يتميز على منحنى طيف الأشعة الصادرة بشكل خط حاد ذي علاقة بنوع المادة الكيمياوي للمصعد. لذلك سمي هذا النوع الأخير من الأشعة السينية الصادرة الأشعة المميزة.

تتعلق قدرة اختراق الأشعة للمادة أو نفوذها بطول موجتها، وبالتالي بالطاقة الحركية للإلكترونات المتصادمة مع المصعد، فكلما كانت طاقة هذه الإلكترونات عالية كان طول موجة الأشعة السينية قصيراً، وكانت شديدة النفوذ أو قاسية. وبالعكس كلما خفت هذه الطاقة كان طول موجة الأشعة السينية الصادرة طويلاً وكانت الأشعة قليلة النفوذ أو لينة، وتزداد طاقة الإلكترونات الحركية طرداً مع زيادة فرق الكمون المطبق (فولتاج) فاذا اقترب هذا من 500.000 فولط كان طول موجة الأشعة السينية الصادرة قريباً من أطوال موجة أشعة گاما.

الذرة وأشعة إكس

كلأ من الأشعة المرئية واشعة اكس تنتج من الانتقال الاكتروني بين مستويات الطاقة في الذرة. تشغل الالكترونات مستويات طاقة أو مدارات مختلفة حول النواة في الذرة وعندما ينتقل الكترون من مستوى طاقة عالى إلى مستوى طاقة منخفض ينطلق فوتون يحمل فرق الطاقة بين المستويين. تعتمد طاقة الفوتون المنبعث على الفرق بين مستويات الطاقة في الذرة فيمكن ان تكون طاقة الفوتون الناتج في مدى الاشعة المرئية فينتج ضوء مرئي ويمكن ان تكون طاقة الفوتون المنبعث في المدى الغير المرئي فينتج اشعة غير مرئية، اذا نستنتج أن ما يحدد طاقة الفوتون الناتج أو المنبعث من الذرة هو الانتقال الالكتروني بين مستويات الطاقة.

عندما يصطدم الفوتون المنبعث بذرة أخرى فإن تلك الذرة تمتص طاقة الفوتون من خلال احد الكتروناتها لينتقل الالكترون من مستوى طاقة منخفض إلى مستوى طاقة اعلى لانه امتص طاقة اضافية. وشرط امتصاص الإلكترون طاقة الفوتون ان تكون طاقة الفوتون تساوي فرق مستويات الطاقة التي سينتقل لها الإلكترون (هذا شرط يعود إلى طبيعة الذرة بنية الذرة كما خلقها الله سبحانه وتعالى) واذا اختل هذا الشرط فلن يحدث امتصاص الفوتون من قبل الذرة.

كيف ينبعث الضوء من الذرة

الذرات التي تكون اجسامنا تتعامل مع الاشعة الكهرومغناطيسية (نقصد كل الاشعة المرئية والاشعة الغير مرئية) بنفس الآلية السابقة، فأشعة الراديو التي تحيط بنا لا تمتلك الطاقة الكافية لتنقل الكترونات الذرات من مستوى طاقة إلى مستوى طاقة اعلى لذلك فهذه الاشعة تعبر اجسامنا دون امتصاص لفوتوناتها. أما اشعة أكس ففوتوناتها ذات طاقة عالية تمكنها من ان تعبر كل الاشياء في طريقها ولكن بطريقة مختلفة عن اشعة الراديو حيث تستطيع اشعة اكس ان تمنح الكترونات الذرات الطاقة الكافية مما قد تسبب تلك الطاقة من تحرير الالكترونات من الذرة تماما كما يحدث في ذرات العناصر الخفيفة (عددها الذري قليل) حيث يستغل جزء من طاقة فوتون اشعة اكس من تحرير الالكترون من الذرة والجزء المتبقي يكسب الالكترون طاقة حركة ليغادر الذرة. ولكن في ذرات العناصر الثقيلة (لها عدد ذري كبير) فإنها تمتص طاقة اشعة اكس لوجود مستويات طاقة تتوافق مع طاقة فوتون اشعة اكس.

نستنتج مما سبق ان العناصر الخفيفة ذات ذرات صغيرة لا تمتص اشعة اكس وان العناصر الثقيلة ذات الذرات الكبيرة تمتص اشعة اكس.

الخلايا المكونة للجلد في اجسامنا تتكون من ذرات صغيرة وبالتالي لا تمتص اشعة اكس بينما ذرات الكالسيوم المكونة للعظام هي ذرات كبيرة وتمتص فوتونات اشعة اكس.

خصائص الأشعة

تمكن رونتگن منذ اكتشافه الأشعة السينية من دراسة خصائصها النوعية ولخصها بأن هذه الأشعة تسبب تفلور عدد من المواد من بينها مركب سيانيد البلاتين مع الباريوم. وتؤثر في المستحلبات الفضية المستخدمة في التصوير الضوئي. وتزيل الشحنة الكهربائية للمواد. ومعظم المواد شفافة لها. وتسير وفق خط مستقيم. ولا يغير اتجاهها مرورها عبر ساحات مغنطيسية، لذلك فهي ليست سيلاً من جزيئات مشحونة. وتصدر عندما تصطدم الأشعة المهبطية بأي مادة. وإن العناصر الثقيلة أكثر مردوداً من حيث إصدارها. ولا تنعكس ولا تنكسر بسهولة كالأشعة الضوئية. وقد عكف الفيزيائيون منذ اكتشاف الأشعة السينية على دراسة خصائصها بالتفصيل وتبين لهم فيما بعد أنها تحدث بمرورها في المادة تأيناً ionisation في ذرات هذه المادة تختلف نسبته باختلاف طاقة فوتوناتها.

الإستخدامات

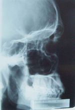
X-Ray Image of the Paranasal Sinuses, Lateral Projection

استعملت الأشعة السينية في مجالات الطب والصناعة، وكان الأطباأوالمستفيدين من استعمالها بسبب اختلاف نسب امتصاصها في الأنسجة الحية باختلاف نوع هذه الأنسجة، فاستخدمت خاصة الفلورة في التنظير الشعاعي ودراسة حركية الأعضاء، ثم استخدمت الدارة التلفزيونية في نقل الصورة المتفلورة إلى شاشة التلفاز الذي أصبح يستخدم في التنظير الشعاعي، وبذلك تناقصت كمية الأشعة اللازمة للحصول على الصورة المفلورة المتلفزة.

وكذلك استعملت الأشعة السينية في التصوير الشعاعي لمختلف أعضاء الجسم، ثم أدخل استعمالها مع الحواسيب للحصول على صور أكثر دقة وتفصيلاً للأعضاء المختلفة (أجهزة التصوير الطبقي المحوري). واستخدمت الأشعة السينية أيضاً في معالجة الأورام الخبيثة ومنع انتشارها، وجهد الفيزيائيون في زيادة قدرة نفوذها في الأنسجة المختلفة للجسم للوصول إلى الأورام العميقة، فاستعملت المسرعات الخطية التي أصبحت اليوم من أحدث أجهزة المعالجة الشعاعية. استخدمت الأشعة السينية أيضاً في الصناعة لكشف الهنات والشقوق في القوالب المعدنية والأخشاب المستعملة في صناعة الزوارق، كما ساعدت دراسة طيف امتصاص هذه الأشعة في المادة على جعل الأشعة السينية طريقة لكشف العناصر الداخلة في تركيب المواد المختلفة وتحليلها. وتستعمل في هذه الحالة الأشعة السينية التي تميز كل عنصر من العناصر الكيمياوية. تبين منذ السنوات العشر الأولى لاستعمال الأشعة السينية في الطب (التشخيص والمعالجة) أن هذه الأشعة لا تخلو من التأثيرات المؤذية. فقد عرف منذ البدء، عندما استخدمها الأطباء في التنظير الشعاعي لجبر كسور العظام، أنها تحدث حروقاً في أيدي الطبيب الفاحص وأن لها تأثيراً في خلايا نقي العظام والغدد التناسلية. وأظهرت الدراسات الخلوية الحيوية فيما بعد التأثيرات المؤذية للأشعة تسبب حتى بمقادير قليلة أحياناً تبدلات في صبغيات نواة الخلية الحية (طفرات) مع ما يتلو ذلك من تشوهات ولادية أو من اضطراب تكاثر هذه الخلايا وبالتالي موتها.

وثبت أن تأثيرات الأشعة السينية في الخلية الحية تقع في أثناء الطور الثالث للانقسام الخلوي، لذلك كانت الأنسجة الحية ذات الانقسام الخلوي النشيط أشد تأثراً بها كأنسجة نقي العظام والغدد التناسلية.

لذلك فقد أحجم الأطباء عن استعمالها على المرأة الحامل في الأشهر الأولى من الحمل، واستخدمت الواقيات الرصاصية لحماية العاملين بها. كما أن الهيئة الدولية للطاقة الذرية واللجان المتفرعة عنها قامت بنشر توصيات الحماية والأمان الخاصة بالأشعة السينية في منشورات خاصة تناولت القوانين الناظمة لاستعمالات هذه الأشعة وفرضت معايير وأسساً لصناعة الأجهزة الشعاعية ألزمت الشركات الصانعة التقيد بها، كما حددت المقادير والجرعات الشعاعية العظمى المسموح بها التي لا تحدث ضرراً يذكر.

الفيزياء الطبية

X-ray K-series spectral line wavelengths (nm) for some common target materials.[6]
الهدف Kβ₁ Kβ₂ Kα₁ Kα₂
Fe 0.17566 0.17442 0.193604 0.193998
Co
Ni 0.15001 0.14886 0.165791 0.166175
Cu 0.139222 0.138109 0.154056 0.154439
Zr 0.070173 0.068993 0.078593 0.079015
Mo 0.063229 0.062099 0.070930 0.071359
W
Re

الكشف عن أشعة إكس

صورة ضوئية

Photostimulable phosphors (PSPs)

===عداد گايگر

Scintillators

تكثيف الصورة

X-ray during Cholecystectomy

الكشف المباشر عن أشباه الموصلات

Scintillator plus semiconductor detectors (كشف غير مباشر)

الرؤية للعين البشرية

الحماية ضد الأشعة السينية

X-Rays generated by peak voltages
not exceeding
Minimum thickness
of Lead
75 kV 1.0 mm
100 kV 1.5 mm
125 kV 2.0 mm
150 kV 2.5 mm
175 kV 3.0 mm
200 kV 4.0 mm
225 kV 5.0 mm
300 kV 9.0 mm
400 kV 15.0 mm
500 kV 22.0 mm
600 kV 34.0 mm
900 kV 51.0 mm

استخدامات أخرى

Each dot, called a reflection, in this diffraction pattern forms from the constructive interference of scattered X-rays passing through a crystal. The data can be used to determine the crystalline structure.
X-ray fine art photography of needlefish by Peter Dazeley

انظر أيضا

المصادر

  1. ^ Kevles, Bettyann Holtzmann (1996). Naked to the Bone Medical Imaging in the Twentieth Century. Camden, NJ: Rutgers University Press. pp. 19–22. ISBN 0813523583.
  2. ^ Sample, Sharron (2007-03-27). "X-rays". The electromagnetic spectrum. NASA. Retrieved 2007-12-03. {{cite web}}: Check date values in: |date= (help); Cite has empty unknown parameter: |coauthors= (help)
  3. ^ Novelline, Robert. Squire's Fundamentals of Radiology. Harvard University Press. 5th edition. 1997. ISBN 0674833392.
  4. ^ محمد الخولي (2007-09-21). "100 سنة من العلم والابتكار - رحلة فكرية مع مخترعات القرن العشرين". جريدة البيان الإماراتية. Retrieved 2008-12-30.
  5. ^ الموسوعة العربية
  6. ^ in David R. Lide: CRC Handbook of Chemistry and Physics 75th edition. CRC Press, 10–227. ISBN 0-8493-0475-X. 
  • NASA Goddard Space Flight centre introduction to X-rays.

موقع الفيزياء التعليمي

وصلات خارجية