انزلاق غضروفي
| الإنزلاق الغضروفي | |
|---|---|
| الأسماء الأخرى | Disc herniation, Slipped disc, bulging disc, ruptured disc, herniated disc, prolapsed disc, herniated nucleus pulposus, lumbar disc herniation | 
| التخصص | جراحة العظام، جراحة المخ والأعصاب | 
| عوامل الخطر | مرض النسيج الضام | 
الإنزلاق الغضروفي (disc herniation، spinal disc herniation)، هو إصابة في القرص الفقري بين فقرتين، وعادة ما يكون سببها إجهاد مفرط أو صدمة في العمود الفقري. وقد يؤدي الإنزلاق الغضروفي إلى آلام الظهر، أو الألم أو الإحساس في أجزاء مختلفة من الجسم، والإعاقة الجسدية. إن أداة التشخيص الأكثر حسماً للإنزلاق الغضروفي هي التصوير بالرنين المغناطيسي، وقد تتراوح العلاجات من مسكنات الألم إلى الجراحة. يمكن الوقاية من الإصابة بالإنزلاق الغضروفي من خلال الوعي بميكانيكا الجسم بما في ذلك الحفاظ على الوضعية الجيدة للجسم.[1]
عندما يؤدي التمزق في الحلقة الخارجية الليفية للقرص الفقري إلى نتوء الجزء المركزي اللين إلى ما وراء الحلقات الخارجية التالفة، يُقال أن القرص منزلق. غالباً ما يرتبط الانزلاق الغضروفي بالتنكس المرتبط بالعمر للحلقة الخارجية، والمعروفة باسم الحلقة الليفية الفقارية، لكن عادة ما يحدث هذا بسبب الصدمة أو الإجهاد الناتج عن الرفع أو الالتواء.[2] تحدث التمزقات دائماً تقريباً في الجزء الخلفي الجانبي (على الجانبين الخلفيين) بسبب الضيق النسبي في الرباط الطولي الخلفي بالنسبة إلى الرباط الطولي الأمامي.[3] قد يؤدي تمزق حلقة القرص إلى إطلاق مواد كيميائية تسبب الالتهاب، مما قد يؤدي إلى ألم شديد حتى في حالة عدم وجود ضغط على جذر العصب.
عادةً ما يكون انزلاق القرص تطوراً إضافياً لنتوء القرص الموجود سابقاً، حيث تظل الطبقات الخارجية من الحلقة الليفية سليمة، لكنها قد تنتفخ عندما يكون القرص تحت الضغط. وعلى النقيض من الانفتاق، لا يتسرب أي جزء مركزي إلى ما بعد الطبقات الخارجية. تلتئم معظم الانفتاقات البسيطة في غضون عدة أسابيع. العلاجات المضادة للالتهابات للألم المرتبط بانفتاق القرص أو البروز أو الانتفاخ أو تمزق القرص فعالة بشكل عام. قد لا تلتئم الانفتاقات الشديدة من تلقاء نفسها وقد تتطلب الجراحة.
الأعراض والعلامات
عادةً ما تظهر الأعراض على جانب واحد من الجسم فقط.[بحاجة لمصدر]
قد تختلف أعراض الانزلاق الغضروفي اعتمادًا على موقع الانزلاق وأنواع الأنسجة الرخوة المصابة. ويمكن أن تتراوح من ألم بسيط أو عدم وجود ألم على الإطلاق، إذا كان الانزلاق الغضروفي هو الأنسجة الوحيدة المصابة، إلى ألم شديد ومتواصل في العنق أو أسفل الظهر ينتشر إلى المناطق التي تخدمها جذور الأعصاب التي تهيجت أو تأثرت بالمادة المنزلقة. غالبًا، لا يتم تشخيص الانزلاق الغضروفي على الفور، حيث يعاني المرضى من آلام غير محددة في الفخذين أو الركبتين أو القدمين.[بحاجة لمصدر]
قد تشمل الأعراض تغيرات حسية مثل الخدر والوخز وتشوش الحس والتغيرات الحركية مثل ضعف العضلات والشلل وتأثر الفعل المنعكس. إذا كان الانزلاق الغضروفي في منطقة أسفل الظهر، فقد يعاني المريض أيضًا من عرق النسا بسبب تهيج أحد جذور الأعصاب في العصب الوركي. على عكس الألم النابض أو الألم الذي يأتي ويذهب، والذي يمكن أن يحدث بسبب تشنج العضلات، فإن الألم الناتج عن الانزلاق الغضروفي يكون مستمرًا عادةً أو مستمرًا على الأقل في وضع محدد من الجسم.[بحاجة لمصدر]
من الممكن أن يصاب الشخص بالانزلاق الغضروفي بدون ألم أو أعراض ملحوظة إذا لم تضغط مادة "النواة اللبية" المرفوعة على الأنسجة الرخوة أو الأعصاب. وجدت دراسة أجريت على عينة صغيرة فحصت العمود الفقري العنقي لدى متطوعين لا يعانون من أعراض نتوءات غضروفية بؤرية في 50% من المشاركين، مما يشير إلى أن جزءًا كبيرًا من السكان قد يكون لديهم انزلاق غضروفي بؤري في المنطقة العنقية لا يسبب أعراضًا ملحوظة.[4][5]
قد يسبب الانزلاق الغضروفي في العمود الفقري القطني ألمًا عصبيًا ممتدًا في الأطراف السفلية أو منطقة الفخذ وقد يكون مرتبطًا أحيانًا بسلس الأمعاء أو المثانة.[6]
عادةً ما تظهر الأعراض على جانب واحد من الجسم فقط، ولكن إذا كان الفتق كبيرًا جدًا ويضغط على الأعصاب على كلا الجانبين داخل العمود الفقري أو ذنب الفرس، فقد يتأثر كلا جانبي الجسم، وغالبًا ما تكون العواقب وخيمة. يمكن أن يتسبب ضغط ذنب الفرس في تلف دائم للأعصاب أو الشلل مما قد يؤدي إلى فقدان السيطرة على الأمعاء والمثانة واختلال الوظيفة الجنسية. يُطلق على هذا الاضطراب متلازمة ذنب الفرس. تشمل المضاعفات الأخرى الألم المزمن.[بحاجة لمصدر]
الأسباب
عندما يكون العمود الفقري مستقيمًا، كما هو الحال أثناء الوقوف أو الاستلقاء، يوازن الضغط الداخلي على جميع أجزاء الأقراص. أثناء الجلوس أو الانحناء للرفع، يمكن أن ينتقل الضغط الداخلي على القرص من 1.2 بار (وضع الاستقلاء) إلى أكثر من 21 بار (أثناء الرفع مع استدارة الظهر).[بحاجة لمصدر] يحدث انزلاق محتويات القرص إلى القناة الشوكية غالبًا عند ضغط الجانب الأمامي (جانب المعدة) من القرص أثناء الجلوس أو الانحناء للأمام، وتُضغط المحتويات (النواة اللبية) على الغشاء الممتد بإحكام والرفيع (الحلقة الليفية) على الجانب الخلفي من القرص. يمكن أن يؤدي الجمع بين ترقق الغشاء بسبب التمدد وزيادة الضغط الداخلي (14-21 بار) إلى تمزق الغشاء الحاجز. ثم تنتقل محتويات القرص الشبيهة بالهلام إلى القناة الشوكية، فتضغط على الأعصاب الشوكية، مما قد يؤدي إلى آلام شديدة وقد تؤدي إلى إعاقة الحركة وأعراض أخرى.[بحاجة لمصدر]
يفضل بعض المؤلفين أن يكون انحلال القرص الفقري هو السبب الرئيسي للانزلاق الغضروفي ويستشهدون بالصدمة كسبب ثانوي.[7] يحدث تنكس القرص في كل من مرض القرص التنكسي والشيخوخة.[8] مع التنكس، تصبح مكونات القرص - النواة اللبية والحلقة الليفية - معرضة لأحمال متغيرة. على وجه التحديد، تصبح النواة ليفية وقاسية وأقل قدرة على تحمل الحمل. ينتقل الحمل الزائد إلى الحلقة، والتي قد تتطور بعد ذلك إلى شقوق نتيجة لذلك. إذا وصلت الشقوق إلى محيط الحلقة، يمكن للمادة النووية أن تمر عبرها كانزلاق غضروفي.[8]
ترتبط الطفرات في العديد من الجينات بتنكس القرص الفقري. تشمل الجينات المرشحة المحتملة الكولاجين من النوع الأول (الموقع sp1)، والكولاجين من النوع التاسع، ومستقبل ڤيتامين د، والأگريكان، والأسپرين، MMP3، الإنترلوكين-1، والإنترلوكين-6، والتعدد الشكلي.[9] لقد ثبت أن الطفرات الجينية - مثل MMP2 وTHBS2 - التي تشفر الپروتينات والإنزيمات المشاركة في تنظيم المصفوفة خارج الخلية تساهم في الانزلاق الغضروفي القطني.[10][11]
يمكن أن يحدث الانزلاق الغضروفي نتيجة للتآكل العام، مثل تدريبات رفع الأثقال،[12][13] الجلوس أو القرفصاء بشكل مستمر، أو القيادة، أو نمط الحياة الخامل.[14] وقد يحدث الانزلاق الغضروفي أيضاً نتيجة رفع الأشياء الثقيلة.[15]
الرياضيون المحترفون، وخاصة أولئك الذين يمارسون رياضات الاحتكاك الجسدي، مثل كرة القدم الأمريكية، الرگبي،[16] هوكي الجليد، والمصارعة، ، من المعروف أنهم معرضون للانزلاق الغضروفي وكذلك بعض الرياضات التي تتطلب الاحتكاك المحدود والتي تتطلب الانثناء والضغط المتكرر مثل كرة القدم، البيسبول، كرة السلة، والكرة الطائرة.[17][18][19][20] في السياقات الرياضية، غالبًا ما يكون الانزلاق نتيجة لصدمات حادة مفاجئة أو انحناء مفاجئ أو حركات التواء للجزء السفلي من الظهر.[بحاجة لمصدر]
الفسيولوجيا المرضية
تحدث معظم حالات الانزلاق الغضروفي في العمود الفقري القطني (95% في الفقرات القطنية الرابعة-الخامسة أو الخامسة-العجزية الأولى).[21] الموقع الثاني الأكثر شيوعًا هو منطقة الفقرات العنقية (الخامسة-السادسة، السادسة-السابعة). تمثل منطقة الفقرات الصدرية 1-2% فقط من الحالات. تحدث الانزلاقات عادةً من الخلف إلى الجانب، عند النقاط التي تكون فيها الحلقة الليفية رقيقة نسبيًا ولا يتم تعزيزها بواسطة الرباط الطولي الخلفي أو الأمامي.[21] في العمود الفقري العنقي، يؤدي الانزلاق الخلفي الجانبي بين فقرتين إلى التأثير على العصب الذي يخرج من القناة الشوكية بين هاتين الفقرتين على هذا الجانب.[21] على سبيل المثال، فإن الانزلاق الخلفي الجانبي الأيمن للقرص بين الفقرتين العنقيتين الخامسة والسادسة سيؤثر على العصب الشوكي الأيمن للفقرة العنقية السادسة. ومع ذلك، فإن بقية الحبل الشوكي موجه بشكل مختلف، لذا فإن الانزلاق الخلفي الجانبي العرضي بين فقرتين سيؤثر على العصب الذي يخرج عند المستوى الفقري التالي إلى الأسفل.[21]
الانزلاق الغضروفي القطني
تحدث الانزلاقات الغضروفية القطنية في الظهر، وغالبًا ما تكون بين الفقرتين القطنيتين الرابعة والخامسة أو بين الفقرة الخامسة والعجز. وهنا يمكن الشعور بالأعراض في أسفل الظهر والأرداف والفخذ ومنطقة الشرج/الأعضاء التناسلية (عبر العصب العجاني)، وقد تنتشر إلى القدم و/أو إصبع القدم. العصب الوركي هو العصب الأكثر تأثرًا، مما يسبب أعراض عرق النسا. يمكن أن يتأثر العصب الفخذي أيضًا ويسبب للمريض شعورًا بالخدر والوخز في جميع أنحاء إحدى الساقين أو كلتيهما وحتى القدمين أو شعورًا بالحرقان في الوركين والساقين.[22] غالبًا ما يضغط الانزلاق في منطقة أسفل الظهر على جذر العصب الذي يخرج من المستوى أسفل القرص. وبالتالي، فإن فتق الفقرة القطنية الرابعة والخامسة يضغط على جذر العصب القطني الخامس، فقط إذا كان الانزلاق خلفيًا جانبيًا.[بحاجة لمصدر]
الانزلاق الغضروفي العنقي
يحدث الانزلاق الغضروفي العنقي، غالبًا بين الفقرات العنقية الخامسة والسادسة (C5–6) والسادسة والسابعة (C6–7). هناك قابلية متزايدة بين المرضى الأكبر سنًا (60+) للفتق في الجزء العلوي من العنق، وخاصة في الفقرات العنقية الثالثة والرابعة.[23] قد تظهر أعراض الانزلاق الغضروفي العنقي في الجزء الخلفي من الجمجمة والعنق وحزام الكتف ولوح الكتف والذراع واليد.[24] قد تتأثر أعصاب الضفيرة العنقية والضفيرة العضدية.[25]
الإنزلاق الغضروفي داخل الجافية
يحدث الانزلاق الغضروفي داخل الجافية عندما تعبر مادة القرص غشاء الجافية وتدخل إلى الكيس النخاعي. وهو شكل نادر من أشكال الانزلاق الغضروفي بنسبة حدوث تتراوح بين 0.2% و2.2%. يمكن أن يكون التصوير قبل الجراحة مفيدًا للتشخيص، لكن يلزم الحصول على نتائج أثناء الجراحة للتأكيد.[26]
الالتهاب
من المعروف بشكل متزايد أن آلام الظهر الناتجة عن انزلاق غضروفي لا ترجع دائمًا إلى ضغط أعصاب الحبل الشوكي أو جذور الأعصاب فحسب، بل قد تكون ناجمة أيضًا عن التهاب كيميائي.[27][28][29][30] هناك أدلة تشير إلى وجود وسيط التهابي محدد في آلام الظهر:[31][32] يُطلق جزيء التهابي يسمى عامل نخر الورم ألفا (TNF) ليس فقط من خلال الانزلاق الغضروفي، لكن أيضًا في حالات تمزق القرص (تمزق الحلقة) بواسطة مفاصل وجيهية، وفي التضيق الشوكي.[27][33][34][35] بالإضافة إلى التسبب في الألم والالتهاب، قد يساهم عامل نخر الورم في انحلال القرص.[36]
التشخيص
المصطلح
تشمل المصطلحات المستخدمة عادة لوصف الحالة الانزلاق الغضروفي، والتدلي الغضروفي، والتمزق الغضروفي. وتشمل الحالات الأخرى التي ترتبط ارتباطًا وثيقًا بروز القرص، واعتلال الجذور العصبية (العصب المضغوط)، وعرق النسا، ومرض الغضروف، وتنكس الغضروف، ومرض القرص التنكسي، والقرص الأسود (قرص فقري متحلل تمامًا).[بحاجة لمصدر]
المصطلح الشائع انزلاق الغضروف هو تسمية خاطئة، حيث أن الأقراص الفقرية محصورة بإحكام بين فقرتين متصلتين بهما، ولا يمكنها في الواقع "الانزلاق" أو حتى الخروج من مكانها. في الواقع، ينمو القرص مع الفقرات المجاورة ويمكن أن ينضغط ويمتد ويلتوي، كل ذلك بدرجات صغيرة. يمكن أيضًا أن يتمزق أو ينفصل أو ينفتق أو يتحلل، لكنه لا يمكن أن "ينزلق".[37] يرى بعض المؤلفين أن مصطلح الانزلاق الغضروفي ضار، لأنه يؤدي إلى فكرة غير صحيحة عما حدث وبالتالي النتيجة المحتملة.[38][39][40] ومع ذلك، أثناء النمو، يمكن أن ينزلق أحد جسم الفقرة بالنسبة لجسم الفقرة المجاورة، وهي تشوه يسمى الانزلاق الفقاري.[40]
يُعرف الانزلاق الغضروفي الشوكي باللاتينية باسم prolapsus disci intervertebralis.[بحاجة لمصدر]
للتكبير، اضغط على الصورة:
رسم توضيحي يصور الانزلاق الغضروفي وضغط العصب الفقري.
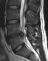
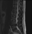
انزلاق غضروفي خلال تمزق في الحلقة (موضح بالتصوير بالرنين المغناطيسي).[9]
الفحص البدني
يُشخص الطبيب الانزلاق الغضروفي الشوكي على أساس تاريخ الحالة والأعراض، ومن خلال الفحص البدني. أثناء التقييم، قد تُجرى اختبارات لتأكيد أو تُستبعد أسباب أخرى محتملة ذات أعراض مماثلة - الانزلاق الفقاري، التنكس، الأورام، النقائل، والآفات التي تشغل الحيز، على سبيل المثال - وكذلك لتقييم فعالية خيارات العلاج المحتملة.[بحاجة لمصدر]
رفع الساق باستقامة
غالبًا ما يُستخدم اختبار رفع الساق باستقامة كاختبار أولي لاحتمال وجود انزلاق غضروفي في منطقة أسفل الظهر. ومن الممكن رفع الساق أثناء جلوس الحالة.[41] ومع ذلك، فإن هذا يقلل من حساسية وخصوصية الاختبار.[42] وجدت مراجعة كوكرين التي نُشرت عام 2010 أن الاختبارات التشخيصية الفردية بما في ذلك اختبار رفع الساق باستقامة، أو غياب ردود أفعال الأوتار، أو ضعف العضلات لم تكن دقيقة للغاية عند إجرائها بمعزل عن غيرها.[43]
تصوير العمود الفقري
- التصوير الشعاعي الإسقاطي (التصوير بالأشعة السينية). إن الأشعة السينية العادية التقليدية محدودة في قدرتها على تصوير الأنسجة الرخوة مثل الأقراص والعضلات والأعصاب، لكنها لا تزال تستخدم لتأكيد أو استبعاد احتمالات أخرى مثل الأورام والالتهابات والكسور وما إلى ذلك. وعلى الرغم من قيودها، تلعب الأشعة السينية دورًا غير مكلف نسبيًا في تأكيد الشك في وجود انزلاق غضروفي. وإذا تعزز الشك بهذه الطريقة، فقد تُستخدم طرق أخرى للتأكيد النهائي.[بحاجة لمصدر]
 
- التصوير المقطعي المحوسب هو أكثر طرق التصوير حساسية لفحص الهياكل العظمية للعمود الفقري. يسمح التصوير المقطعي المحوسب بتقييم الانزلاق الغضروفي المتكلسة أو أي عملية مرضية قد تؤدي إلى فقدان العظام أو تدميرها. إنه غير مناسب لتصور جذور الأعصاب، مما يجعله غير مناسب لتشخيص اعتلال الجذور العصبية.[44]
 - التصوير بالرنين المغناطيسي هي الدراسة المعيارية الذهبية لتأكيد الاشتباه في انزلاق غضروفي. مع دقة تشخيصية تبلغ 97%، فهي الدراسة الأكثر حساسية لتصور الانزلاق الغضروفي بسبب قدرتها الكبيرة على تصور الأنسجة الرخوة. كما يتمتع التصوير بالرنين المغناطيسي بموثوقية أعلى بين المراقبين مقارنة بوسائل التصوير الأخرى. ويشير إلى انزلاق غضروفي عندما يظهر إشارة متزايدة مرجحة بـ T2 عند المنطقة الخلفية التي تغطي 10% من القرص. وقد أظهرت أمراض الانزلاق الغضروفي ارتباطًا بتغيرات النوع 1 من مقياس موديك. عند تقييم اعتلالات الجذور العصبية القطنية بعد الجراحة، فإن التوصية هي إجراء التصوير بالرنين المغناطيسي مع التباين ما لم يكن هناك موانع أخرى. يعد التصوير بالرنين المغناطيسي أكثر فعالية من التصوير المقطعي المحوسب في التمييز بين الأسباب الالتهابية أو الخبيثة للانزلاق الغضروفي. يُشار إليه في وقت مبكر نسبيًا في مسار التقييم (<8 أسابيع) عندما يظهر المريض مؤشرات نسبية مثل الألم الشديد والعجز الحركي العصبي ومتلازمة ذيل الفرس. التصوير الموتر الانتشاري هو نوع من تسلسل التصوير بالرنين المغناطيسي المستخدم للكشف عن التغيرات الدقيقة في جذر العصب. قد يكون مفيدًا في فهم التغييرات التي تحدث بعد أن يضغط القرص القطني المنفتق على جذر العصب، وقد يساعد في التمييز بين المرضى الذين يحتاجون إلى تدخل جراحي. في المرضى الذين لديهم شكوك عالية في اعتلال الجذور العصبية بسبب الانزلاق الغضروفي القطني، ومع ذلك فإن التصوير بالرنين المغناطيسي غامض أو سلبي، يوصى بدراسات التوصيل العصبي.[44] توفر الصور المرجحة الناتجة عن التصوير بالرنين المغناطيسي (T2) تصور واضح لمادة القرص البارز في القناة الشوكية.
 
- تصوير النخاع الشوكي. يكشف تصوير النخاع الشوكي بالأشعة السينية بعد حقن مادة تباين في الفراغات المحيطة بالسائل النخاعي الشوكي عن إزاحة مادة التباين. ويمكن أن يظهر وجود هياكل يمكن أن تسبب ضغطًا على النخاع الشوكي أو الأعصاب، مثل الانزلاق الغضروفي أو الأورام أو النتوءات العظمية. ولأن تصوير النخاع الشوكي يتضمن حقن مواد غريبة، فإن التصوير بالرنين المغناطيسي أصبح الآن مفضلًا لمعظم المرضى. ولا يزال تصوير النخاع الشوكي يوفر خطوطًا عريضة ممتازة للآفات التي تشغل الفراغ، وخاصة عند دمجه مع التصوير المقطعي المحوسب (تصوير النخاع الشوكي). ويُعد تصوير النخاع الشوكي بالتصوير المقطعي المحوسب الطريقة التصويرية المفضلة لتصور الانزلاق الغضروفي لدى المرضى الذين يعانون من موانع لإجراء التصوير بالرنين المغناطيسي. ومع ذلك، نظرًا لكونه تدخليًا، فإن مساعدة أخصائي الأشعة المدرب مطلوبة. ويرتبط تصوير النخاع الشوكي بمخاطر مثل الصداع النخاعي، والعدوى السحائية، والتعرض للإشعاع. وقد أدت التطورات الأخيرة في التصوير المقطعي المحوسب متعدد الكواشف إلى جعل المستوى التشخيصي له مساويًا تقريبًا للتصوير بالرنين المغناطيسي.[44]
 - يمكن تقييم وجود الاعتلال النخاعي وشدته عن طريق التحفيز المغناطيسي عبر الجمجمة (TMS)، وهي طريقة عصبية فسيولوجية تقيس الوقت اللازم لنبضة عصبية لعبور السبل الهرمية، بدءًا من القشرة المخية وانتهاءً بخلايا القرن الأمامي للحبل الشوكي العنقي أو الصدري أو القطني. يُطلق على هذا القياس زمن التوصيل المركزي (CCT). يمكن أن يساعد التحفيز المغناطيسي عبر الجمجمة الأطباء على:
 
- تحديد وجود الاعتلال النخاعي
 - تحديد مستوى النخاع الشوكي حيث يقع الاعتلال النخاعي. وهذا مفيد بشكل خاص في الحالات التي قد يكون فيها أكثر من آفتين مسؤولتين عن الأعراض والعلامات السريرية، كما هو الحال في المرضى الذين يعانون من انزلاقين غضروفيين عنقيين أو أكثر.[45]
 - تقييم تطور الاعتلال النخاعي مع الوقت، على سبيل المثال قبل وبعد جراحة العمود الفقري العنقي.
 
- يمكن أن يساعد التحفيز المغناطيسي عبر الجمجمة أيضًا في التشخيص التفريقي لأسباب مختلفة لتلف السبيل الهرمي.[46]
 
- تقيس تخطيط كهربية العضلات ودراسات التوصيل العصبي (EMG/NCS) النبضات الكهربائية على امتداد جذور الأعصاب والأعصاب الطرفية والأنسجة العضلية. يمكن للاختبارات أن تشير إلى ما إذا كان هناك تلف عصبي مستمر، أو ما إذا كانت الأعصاب في حالة شفاء من إصابة سابقة، أو ما إذا كان هناك موقع آخر لضغط العصب. تُستخدم دراسات EMG/NCS عادةً لتحديد مصادر خلل الأعصاب البعيدة عن العمود الفقري.
 
التشخيص التفريقي
قد تكون الاختبارات ضرورية للتمييز بين الانزلاق الغضروفي في العمود الفقري والحالات الأخرى ذات الأعراض المماثلة.[بحاجة لمصدر]
- الألم القرص الفقري
 - الألم الحركي (عند الحركة)
 - ألم اللفافة
 - الخراريج
 - تسلخ الأبهر
 - التهاب القرص أو التهاب العظم والنقي
 - الورم دموي
 - الآفات المتكتلة أو الخباثة
 - الأورام الحميدة مثل الشفانية أو الأورم السحائية
 - الاحتشاء القلبي
 - اعتلال المفصل العجزي الحرقفي
 - التضيق الشوكي
 - داء الفقار أو انزلاق الفقار
 
العلاج
في أغلب الحالات، يمكن علاج الانزلاق الغضروفي الفقري بنجاح بالطرق المحافظة، دون الحاجة إلى إزالة المادة المنزلقة جراحيًا. عرق النسا هو مجموعة من الأعراض المرتبطة بالانزلاق الغضروفي القطني. أظهرت دراسة أجريت على عرق النسا أن حوالي ثلث الحالات المصابة بعرق النسا تتعافى في غضون أسبوعين بعد العرض باستخدام التدابير المحافظة وحدها، وحوالي ثلاثة أرباع الحالات تتعافى بعد ثلاثة أشهر من العلاج المحافظ.[47] ومع ذلك، قد يكون سبب عرق النسا أيضًا أقل شيوعًا بسبب ضغط الأعصاب بواسطة العضلات والأورام والكتل الأخرى، ولم تشر الدراسة إلى عدد الأفراد الذين يعانون من عرق النسا والذين يعانون من الانزلاق الغضروفي.[بحاجة لمصدر]
يتكون العلاج الأولي عادة من مضادات التهاب لاستيرويدية (NSAIDs)، لكن الاستخدام طويل الأمد لمضادات التهاب لاستيرويدية للأشخاص الذين يعانون من آلام الظهر المستمرة معقد بسبب سميتها القلبية الوعائية والجهاز الهضمي المحتملة.[بحاجة لمصدر]
حقن الستيرويدات القشرية فوق الجافية توفر تحسنًا طفيفًا ومثيرًا للشكوك على المدى القصير لأولئك الذين يعانون من عرق النسا، لكنها لا تقدم أي فائدة على المدى الطويل.[48] تحدث المضاعفات في ما يصل إلى 17% من الحالات عند إجراء الحقن في العنق، على الرغم من أن معظمها تكون بسيطة.[49] عام 2014، اقترحت إدارة الغذاء والدواء الأمريكية أن "حقن الستيرويدات القشرية في الحيز فوق الجافية بالعمود الفقري قد يؤدي إلى مضاعفات سلبية نادرة لكنها خطيرة، بما في ذلك فقدان البصر والسكتة الدماغية والشلل والوفاة"، وأن "فعالية وسلامة إعطاء الستيرويدات القشرية فوق الجافية لم تُثبت، ولم توافق إدارة الغذاء والدواء على الستيرويدات القشرية لهذا الاستخدام".[50]
الانزلاق الغضروفي القطني (LDH)
عادةً ما تكون هناك محاولات للعلاج بطرق غير جراحية أولاً. قد تُوصف مسكنات الألم لتخفيف الألم الحاد والسماح للمريض بالبدء في ممارسة التمارين الرياضية والتمدد. هناك عدد من الطرق غير الجراحية المستخدمة في محاولات تخفيف الحالة. تعتبر هذه الطرق موصى بها، أو يُمنع استخدامها، أو يُمنع استخدامها نسبياً، أو غير حاسمة، اعتمادًا على ملف تعريف السلامة لنسبة المخاطر والفوائد الخاصة بها وما إذا كانت قد تساعد أم لا:
موصى بها
- التعليم حول حركة الجسم الصحيحة
 - العلاج الطبيعي لمعالجة العوامل الحركية، وقد يشمل طرقًا لتخفيف الألم مؤقتًا (أي الجر، التحفيز الكهربائي، التدليك)
 - المضادات اللتهاب اللاستيرويدية
 - الحفاظ على الوزن
 - المعالجة النخاعية. تشير الأدلة ذات الجودة المتوسطة إلى أن المعالجة النخاعية أكثر فعالية من العلاج الوهمي لعلاج الانزلاق الغضروفي القطني الحاد (أقل من 3 أشهر) وعرق النسا الحاد.[51][52] كما وجدت نفس الدراسة أدلة "منخفضة إلى منخفضة للغاية" على فائدتها في علاج الأعراض القطنية المزمنة (أكثر من 3 أشهر) و"جودة الأدلة على ... أعراض الأطراف المرتبطة بالعمود الفقري العنقي لأي مدة منخفضة أو منخفضة للغاية". تنص مراجعة أجريت عام 2006 للأبحاث المنشورة على أن المعالجة النخاعية "من المرجح أن تكون آمنة عند إجراءها بواسطة ممارسين مدربين بشكل مناسب"،[53] وتشير الأبحاث حاليًا إلى أن المعالجة النخاعية آمن لعلاج الألم المرتبط بالغضروف.[54]
 
يُمنع استخدامها
- يُمنع اللجوء إلى المعالجة النخاعية عندما يكون سبب النزلاق هو حادث سيارة [55][56][57]
 - يوصى بعد عدم اللجوء إلى المعالجة النخاعية في حالات الانزلاق الغضروفي عندما يكون هناك عجز عصبي تقدمي مثل متلازمة ذنب الفرس.[58]
 - وجدت مراجعة إزالة الضغط عن العمود الفقري غير الجراحية أوجه قصور في معظم الدراسات المنشورة وخلصت إلى أنه "لم يكن هناك سوى أدلة محدودة للغاية في الأدبيات العلمية لدعم فعالية علاج إزالة الضغط عن العمود الفقري غير الجراحي".[59] وكان استخدام هذا الإجراء وتسويقه مثيراً للكثير من الجدل.[60]
 
الجراحة
قد تكون الجراحة مفيدة عندما يتسبب الانزلاق الغضروفي في ألم شديد ينتشر في الساق، أو ضعف كبير في الساق، أو مشاكل في المثانة، أو فقدان السيطرة على الأمعاء.[61]
- يمكن أن يؤدي استئصال القرص الفقري (الإزالة الجزئية للقرص الذي يسبب آلام الساق) إلى تخفيف الألم بشكل أسرع من العلاجات غير الجراحية.
 - استئصال القرص بالمنظار الصغير (يسمى "استئصال القرص بالمنظار النانوي") غير جراحي ولا يسبب متلازمة فشل جراحة الظهر.[62]
 - لم يثبت أن استئصال القرص الجراحي بفتحة جلدية تبلغ بوصة واحدة يؤدي إلى نتيجة مختلفة بشكل كبير عن استئصال القرص بفتحة أكبر فيما يتعلق بالألم.[63]
 - متلازمة فشل جراحة الظهر هي نتيجة خطيرة قد تؤدي إلى الإعاقة، وقد تنشأ بعد جراحة العمود الفقري الغازية لعلاج انفتاق القرص. لا يمكن لعمليات العمود الفقري الأصغر مثل استئصال القرص القطني بالمنظار عبر الثقبة الفقرية أن تسبب متلازمة فشل الظهر، لأنه لا يتم إزالة أي عظم.[64]
 - يعتبر وجود متلازمة ذيل الفرس (من أعراضها سلس البول والضعف وخدر الأعضاء التناسلية) حالة طبية طارئة تتطلب عناية طبية فورية وربما إزالة الضغط جراحياً.
 
عند مقارنة أشكال مختلفة من العلاجات الجراحية بما في ذلك (استئصال القرص، واستئصال القرص الدقيق، والتحلل الكيميائي النووي) كانت الأدلة مقترحة وليست قاطعة. ذكرت مراجعة كوكرين من عام 2007: "يبدو أن استئصال القرص جراحياً للمرضى المختارين بعناية المصابين بعرق النسا بسبب تدلي الغضروف القطني يوفر راحة أسرع من النوبة الحادة مقارنة بالعلاج غير الجراحي. ومع ذلك، فإن أي آثار إيجابية أو سلبية على التاريخ الطبيعي مدى الحياة لمرض القرص الأساسي غير واضحة. يعطي استئصال الغضروف الدقيق نتائج قابلة للمقارنة على نطاق واسع مع استئصال الغضروف القياسي. لا يوجد دليل كافٍ على التقنيات الجراحية الأخرى لاستخلاص استنتاجات قاطعة".[65] وفيما يتعلق بدور الجراحة في علاج العلاج الطبي الفاشل لدى الأشخاص الذين لا يعانون من عجز عصبي كبير، خلصت مراجعة كوكرين إلى أن "الأدلة المتاحة الآن لدعم بعض جوانب الممارسة الجراحية محدودة".
بعد الجراحة، تخضع الحالة لبرامج إعادة التأهيل في كثير من الأحيان. هناك تباين كبير في ما تنطوي عليه هذه البرامج. وجدت مراجعة كوكرين أدلة منخفضة الجودة إلى منخفضة الجودة للغاية تفيد بأن المرضى الذين شاركوا في برامج تمارين عالية الكثافة كانوا يعانون من آلام وإعاقة قصيرة المدى أقل قليلاً مقارنة ببرامج التمارين منخفضة الكثافة. لم يكن هناك فرق بين برامج التمارين الخاضعة للإشراف وبرامج التمارين المنزلية.[66]
الانتشار
يمكن أن يحدث الانزلاق الغضروفي في أي قرص في العمود الفقري، لكن الشكلين الأكثر شيوعًا هما الانزلاق الغضروفي القطني والانزلاق الغضروفي العنقي. الأول هو الأكثر شيوعًا، ويسبب آلام أسفل الظهر (اللومباجو) وغالبًا آلام الساق أيضًا، وفي هذه الحالة يشار إليه عادةً باسم عرق النسا. يحدث الانزلاق الغضروفي القطني 15 مرة أكثر من الانزلاق الغضروفي العنقي (الرقبة)، وهو أحد الأسباب الأكثر شيوعًا لآلام أسفل الظهر. تتأثر الأقراص العنقية بنسبة 8% من الوقت والأقراص الموجودة في الجزء العلوي إلى منتصف الظهر (الصدر) بنسبة 1-2% فقط من الوقت.[67]
لا تحتوي الأماكن التالية على أقراص وبالتالي فهي غير معرضة لخطر الانزلاق الغضروفي: الفراغان الفقريان العلويان في العنق، والعجز، والعصعص. تحدث معظم حالات الانزلاق الغضروفي عندما يكون الشخص في الثلاثينيات أو الأربعينيات من عمره حيث تكون "النواة اللبية" لا تزال عبارة عن مادة تشبه الجيلاتين. مع تقدم العمر تتغير "النواة اللبية" ("تجف") وينخفض خطر الانزلاق الغضروفي بشكل كبير. بعد سن الخمسين أو الستين، يكون الفصال العظمي (التهاب الفقرات) أو التضيق الشوكي من الأسباب الأكثر احتمالية لألم أسفل الظهر أو ألم الساق.
- يعاني 4.8% من الذكور و2.5% من الإناث فوق سن 35 عامًا من عرق النسا.
 - من بين جميع الأشخاص، يعاني 60% إلى 80% من آلام الظهر.
 - في 14% من الحالات يستمر الألم أكثر من أسبوعين.
 - بشكل عام، يكون معدل الإصابة أعلى قليلاً لدى الذكور من الإناث.
 
الوقاية
نظرًا لوجود أسباب مختلفة لإصابات الظهر، يجب أن تكون الوقاية شاملة. تنتشر إصابات الظهر لمن يمارسون الأعمال اليدوية، لذا فإن غالبية طرق الوقاية من آلام أسفل الظهر تُطبق في المقام الأول على الميكانيكا الحيوية.[68] يجب أن تأتي الوقاية من مصادر متعددة مثل التعليم، وميكانيكا الجسم السليمة، واللياقة البدنية.[بحاجة لمصدر]
التعليم
يجب أن يركز التعليم على عدم رفع الأشياء فوق قدرات الفرد وإراحة الجسم بعد بذل مجهود شاق. بمرور الوقت، يمكن أن تؤدي وضعية الجسم الخطأ إلى تمزق القرص الفقري أو تلفه. إن السعي للحفاظ على الوضعية السليمة ومحاذاة الجسم سيساعد في منع تدهور القرص الفقري.[69]
التمارين الرياضية
يمكن أيضًا استخدام التمارين التي تعزز قوة الظهر لمنع إصابات الظهر. تشمل تمارين الظهر تمارين الدفع/الضغط أثناء الاستلقاء، وتمديد الجزء العلوي من الظهر، وتقويم العضلات المستعرضة البطنية، floor bridges. إذا كان هناك ألم في الظهر، فقد يعني ذلك أن عضلات تثبيت الظهر ضعيفة ويحتاج الشخص إلى تدريب عضلات الجذع. ومن التدابير الوقائية الأخرى إنقاص الوزن وعدم إرهاق الجسم. تشمل علامات التعب الرعاش، وضعف التنسيق، وحرق العضلات، وفقدان العضلات البطنية المستعرضة. يجب رفع الأشياء الثقيلة مع التحميل على الساقين، وليس الظهر.
تعتبر السباحة من الأدوات الشائعة في تمارين القوة. قد يؤدي استخدام أحزمة دعم أسفل الظهر والعجز إلى تقييد الحركة في العمود الفقري ودعم الظهر أثناء الرفع.[70]
الأبحاث
قد تشمل العلاجات المستقبلية العلاج بالخلايا الجذعية.[71]
انظر أيضاً
- عرق النسا
 - اعتلال الجذور
 - متلازمة الانضغاط العصبي
 - التهاب
 - التهاب الأعصاب
 - استئصال القرص
 - متلازمة فشل جراحة الظهر
 - قرص بين الفقرات
 - فتق
 - آلام أسفل الظهر
 - مرض القرص التنكسي
 - متلازمة ذنب الفرس
 - تضيق شوكي
 
المصادر
- ^ "Herniated disk". Mayo Clinic. Archived from the original on 8 October 2017. Retrieved 16 December 2022.
 - ^ "Backache from Occiput to Coccyx | Home Page". www.macdonaldpublishing.com. Archived from the original on 2019-03-16. Retrieved 2021-02-23.
 - ^ Moore, Keith L. (2018). Clinically oriented anatomy. A. M. R. Agur, Arthur F., II Dalley (8 ed.). Philadelphia. pp. 98–108. ISBN 978-1-4963-4721-3. OCLC 978362025. Archived from the original on 2021-03-01. Retrieved 2021-02-23.
{{cite book}}: CS1 maint: location missing publisher (link) - ^ Windsor, Robert E (2006). "Frequency of asymptomatic cervical disc protrusions". Cervical Disc Injuries. eMedicine. Archived from the original on 2009-01-08. Retrieved 2008-02-27.
 - ^ Ernst CW, Stadnik TW, Peeters E, Breucq C, Osteaux MJ (Sep 2005). "Prevalence of annular tears and disc herniations on MR images of the cervical spine in symptom free volunteers". Eur J Radiol. 55 (3): 409–14. doi:10.1016/j.ejrad.2004.11.003. PMID 16129249.
 - ^ "Prolapsed Disc Arizona Pain". arizonapain.com. Archived from the original on 2015-02-12. Retrieved 2015-02-10.
 - ^ Simeone, F.A.; Herkowitz, H.N.; Garfin (2006). Rothman-Simeone, The Spine. ISBN 9780721647777.
 - ^ أ ب Del Grande F, Maus TP, Carrino JA (July 2012). "Imaging the intervertebral disk: age-related changes, herniations, and radicular pain". Radiol. Clin. North Am. 50 (4): 629–49. doi:10.1016/j.rcl.2012.04.014. PMID 22643389.
 - ^ أ ب Anjankar SD, Poornima S, Raju S, Jaleel M, Bhiladvala D, Hasan Q. Degenerated intervertebral disc prolapse and its association of collagen I alpha 1 Spl gene polymorphism: A preliminary case control study of Indian population. Indian J Orthop 2015;49:589-94
 - ^ Kawaguchi, Y. (2018). "Genetic background of degenerative disc disease in the lumbar spine". Spine Surgery and Related Research. 2 (2): 98–112. doi:10.22603/ssrr.2017-0007. PMC 6698496. PMID 31440655.
 - ^ Hirose, Yuichiro; et al. (May 2008). "A Functional Polymorphism in THBS2 that Affects Alternative Splicing and MMP Binding Is Associated with Lumbar-Disc Herniation". American Journal of Human Genetics. 82 (5): 1122–1129. doi:10.1016/j.ajhg.2008.03.013. PMC 2427305. PMID 18455130.
 - ^ Shimozaki, K.; Nakase, J.; Yoshioka, K.; Takata, Y.; Asai, K.; Kitaoka, K.; Tsuchiya, H. (2018). "Incidence rates and characteristics of abnormal lumbar findings and low back pain in child and adolescent weightlifter: A prospective three-year cohort study". PLOS ONE. 13 (10): e0206125. Bibcode:2018PLoSO..1306125S. doi:10.1371/journal.pone.0206125. PMC 6205614. PMID 30372456.
 - ^ Kraemer J (March 1995). "Natural course and prognosis of intervertebral disc diseases. International Society for the Study of the Lumbar Spine Seattle, Washington, June 1994". Spine. 20 (6): 635–9. doi:10.1097/00007632-199503150-00001. PMID 7604337.
 - ^ "Herniated disk: 6 safe exercises and what to avoid". Medical News Today (in الإنجليزية). 28 January 2019. Archived from the original on 2019-12-24. Retrieved 2019-12-24.
 - ^ "What is the physical toll of playing rugby?". September 2015. Archived from the original on 2021-02-27. Retrieved 2020-12-21.
 - ^ Ball, J. R.; Harris, C. B.; Lee, J.; Vives, M. J. (2019). "Lumbar Spine Injuries in Sports: Review of the Literature and Current Treatment Recommendations". Sports Medicine - Open. 5 (1): 26. doi:10.1186/s40798-019-0199-7. PMC 6591346. PMID 31236714.
 - ^ Hsu, Wellington K. (August 2010). "Lumbar and Cervical Disk Herniations in NFL Players: Return to Action". Orthopedics. 33 (8): 566–568. doi:10.3928/01477447-20100625-18. PMID 20704153.
 - ^ Earhart, Jeffrey S.; Roberts, David; Roc, Gilbert; Gryzlo, Stephen; Hsu, Wellington (January 2012). "Effects of Lumbar Disk Herniation on the Careers of Professional Baseball Players". Orthopedics. 35 (1): 43–49. doi:10.3928/01477447-20111122-40. PMID 22229920.
 - ^ Bartolozzi, C.; Caramella, D.; Zampa, V.; Dal Pozzo, G.; Tinacci, E.; Balducci, F. (1991). "[The incidence of disk changes in volleyball players. The magnetic resonance findings] - PubMed". La Radiologia Medica. 82 (6): 757–60. PMID 1788427. Archived from the original on 2022-02-21. Retrieved 2020-09-18.
 - ^ أ ب ت ث Moore, Keith L. Moore, Anne M.R. Agur; in collaboration with and with content provided by Arthur F. Dalley II; with the expertise of medical illustrator Valerie Oxorn and the developmental assistance of Marion E. (2007). Essential clinical anatomy (3rd ed.). Baltimore, MD: Lippincott Williams & Wilkins. p. 286. ISBN 978-0-7817-6274-8.
{{cite book}}: CS1 maint: multiple names: authors list (link) - ^ Lumbar herniation at eMedicine
 - ^ Al-Ryalat, Nosaiba Tawfik; Saleh, Saif Aldeen; Mahafza, Walid Sulaiman; Samara, Osama Ahmad; Ryalat, Abdee Tawfiq; Al-Hadidy, Azmy Mohammad (March 2017). "Myelopathy associated with age-related cervical disc herniation: a retrospective review of magnetic resonance images". Annals of Saudi Medicine. 37 (2): 130–137. doi:10.5144/0256-4947.2017.130. ISSN 0975-4466. PMC 6150546. PMID 28377542.
 - ^ "Symptoms of Herniated Cervical Disc". Archived from the original on 2016-05-16. Retrieved 2015-11-12.
 - ^ Cervical herniation at eMedicine
 - ^ Kobayashi, K (October 2014). "Intradural disc herniation: Radiographic findings and surgical results with a literature review". Clinical Neurology and Neurosurgery. 125: 47–51. doi:10.1016/j.clineuro.2014.06.033. PMID 25086430. S2CID 32978237.
 - ^ أ ب Peng B, Wu W, Li Z, Guo J, Wang X (Jan 2007). "Chemical radiculitis". Pain. 127 (1–2): 11–6. doi:10.1016/j.pain.2006.06.034. PMID 16963186. S2CID 45814193.
 - ^ Marshall LL, Trethewie ER (Aug 1973). "Chemical irritation of nerve-root in disc prolapse". Lancet. 2 (7824): 320. doi:10.1016/S0140-6736(73)90818-0. PMID 4124797.
 - ^ McCarron RF, Wimpee MW, Hudkins PG, Laros GS (Oct 1987). "The inflammatory effect of nucleus pulposus. A possible element in the pathogenesis of low-back pain". Spine. 12 (8): 760–4. doi:10.1097/00007632-198710000-00009. PMID 2961088. S2CID 22589442.
 - ^ Takahashi H, Suguro T, Okazima Y, Motegi M, Okada Y, Kakiuchi T (Jan 1996). "Inflammatory cytokines in the herniated disc of the lumbar spine". Spine. 21 (2): 218–24. doi:10.1097/00007632-199601150-00011. PMID 8720407. S2CID 10909087.
 - ^ Igarashi T, Kikuchi S, Shubayev V, Myers RR (Dec 2000). "2000 Volvo Award winner in basic science studies: Exogenous tumor necrosis factor-alpha mimics nucleus pulposus-induced neuropathology. Molecular, histologic, and behavioral comparisons in rats". Spine. 25 (23): 2975–80. doi:10.1097/00007632-200012010-00003. PMID 11145807. S2CID 45206575.
 - ^ Sommer C, Schäfers M (2004). "Mechanisms of neuropathic pain: the role of cytokines". Drug Discovery Today: Disease Mechanisms. 1 (4): 441–8. doi:10.1016/j.ddmec.2004.11.018.
 - ^ Igarashi A, Kikuchi S, Konno S, Olmarker K (Oct 2004). "Inflammatory cytokines released from the facet joint tissue in degenerative lumbar spinal disorders". Spine. 29 (19): 2091–5. doi:10.1097/01.brs.0000141265.55411.30. PMID 15454697. S2CID 46717050.
 - ^ Sakuma Y, Ohtori S, Miyagi M, et al. (Aug 2007). "Up-regulation of p55 TNF alpha-receptor in dorsal root ganglia neurons following lumbar facet joint injury in rats". Eur Spine J. 16 (8): 1273–8. doi:10.1007/s00586-007-0365-3. PMC 2200776. PMID 17468886.
 - ^ Sekiguchi M, Kikuchi S, Myers RR (May 2004). "Experimental spinal stenosis: relationship between degree of cauda equina compression, neuropathology, and pain". Spine. 29 (10): 1105–11. doi:10.1097/00007632-200405150-00011. PMID 15131438. S2CID 41308365.
 - ^ Séguin CA, Pilliar RM, Roughley PJ, Kandel RA (Sep 2005). "Tumor necrosis factor-alpha modulates matrix production and catabolism in nucleus pulposus tissue". Spine. 30 (17): 1940–8. doi:10.1097/01.brs.0000176188.40263.f9. PMID 16135983. S2CID 42449538.
 - ^ "Slipped discs: "they do not actually 'slip'..."". Emedicinehealth.com. Archived from the original on 2012-03-06. Retrieved 2011-12-19.
 - ^ "Prolapsed disc". Spine-inc.com. Archived from the original on 2012-01-02. Retrieved 2011-12-19.
 - ^ Ehealthmd.com FAQ: "...the entire disc does not 'slip' out of place." Archived 2010-01-06 at the Wayback Machine
 - ^ أ ب Burke, Gerald L. "Backache: From Occiput to Coccyx". MacDonald Publishing. Archived from the original on 2014-08-08. Retrieved 2008-03-14.
 - ^ Waddell G, McCulloch JA, Kummel E, Venner RM (1980). "Nonorganic physical signs in low-back pain". Spine. 5 (2): 117–25. doi:10.1097/00007632-198003000-00005. PMID 6446157. S2CID 29441806.
 - ^ Rabin A, Gerszten PC, Karausky P, Bunker CH, Potter DM, Welch WC (2007). "The sensitivity of the seated straight-leg raise test compared with the supine straight-leg raise test in patients presenting with magnetic resonance imaging evidence of lumbar nerve root compression". Archives of Physical Medicine and Rehabilitation. 88 (7): 840–3. doi:10.1016/j.apmr.2007.04.016. PMID 17601462.
 - ^ van der Windt, Daniëlle AWM; Simons, Emmanuel; Riphagen, Ingrid I; Ammendolia, Carlo; Verhagen, Arianne P; Laslett, Mark; Devillé, Walter; Deyo, Rick A; Bouter, Lex M; de Vet, Henrica CW; Aertgeerts, Bert (2010-02-17). "Physical examination for lumbar radiculopathy due to disc herniation in patients with low-back pain". Cochrane Database of Systematic Reviews (2): CD007431. doi:10.1002/14651858.cd007431.pub2. ISSN 1465-1858. PMID 20166095. Archived from the original on 2022-02-21. Retrieved 2020-01-31.
 - ^ أ ب ت Al Qaraghli, MI; De Jesus, O (2021), "article-24453", Lumbar Disc Herniation, Treasure Island (FL): StatPearls Publishing, PMID 32809713, http://www.ncbi.nlm.nih.gov/books/NBK560878/, retrieved on 2021-09-09
 - ^ Deftereos SN, et al. (April–June 2009). "Localisation of cervical spinal cord compression by TMS and MRI". Funct Neurol. 24 (2): 99–105. PMID 19775538.
 - ^ Chen R, Cros D, Curra A, et al. (March 2008). "The clinical diagnostic utility of transcranial magnetic stimulation: report of an IFCN committee". Clin Neurophysiol. 119 (3): 504–32. doi:10.1016/j.clinph.2007.10.014. PMID 18063409. S2CID 8345397.
 - ^ Vroomen PC, de Krom MC, Knottnerus JA (Feb 2002). "Predicting the outcome of sciatica at short-term follow-up". Br J Gen Pract. 52 (475): 119–23. PMC 1314232. PMID 11887877.
 - ^ Pinto, RZ; Maher, CG; Ferreira, ML; Hancock, M; Oliveira, VC; McLachlan, AJ; Koes, B; Ferreira, PH (18 December 2012). "Epidural corticosteroid injections in the management of sciatica: a systematic review and meta-analysis". Annals of Internal Medicine. 157 (12): 865–77. doi:10.7326/0003-4819-157-12-201212180-00564. PMID 23362516. S2CID 21203011.
 - ^ Abbasi A, Malhotra G, Malanga G, Elovic EP, Kahn S (Sep 2007). "Complications of interlaminar cervical epidural steroid injections: a review of the literature". Spine. 32 (19): 2144–51. doi:10.1097/BRS.0b013e318145a360. PMID 17762818. S2CID 23087393.
 - ^ "Epidural Corticosteroid Injection: Drug Safety Communication - Risk of Rare But Serious Neurologic Problems". FDA. 2014. Archived from the original on April 6, 2017.
 - ^ Leininger B, Bronfort G, Evans R, Reiter T (2011). "Spinal manipulation or mobilization for radiculopathy: a systematic review". Phys Med Rehabil Clin N Am. 22 (1): 105–25. doi:10.1016/j.pmr.2010.11.002. PMID 21292148.
 - ^ Hahne AJ, Ford JJ, McMeeken JM (2010). "Conservative management of lumbar disc herniation with associated radiculopathy: a systematic review". Spine. 35 (11): E488–504. doi:10.1097/BRS.0b013e3181cc3f56. PMID 20421859. S2CID 19121111. Archived from the original on 2023-05-31. Retrieved 2023-03-02.
 - ^ Snelling N (2006). "Spinal manipulation in patients with disc herniation: A critical review of risk and benefit". International Journal of Osteopathic Medicine. 9 (3): 77–84. doi:10.1016/j.ijosm.2006.08.001. Archived from the original on 2014-03-18. Retrieved 2010-02-19.
 - ^ Oliphant, D (2004). "Safety of Spinal Manipulation in the Treatment of Lumbar Disk Herniations: A Systematic Review and Risk Assessment". Journal of Manipulative and Physiological Therapeutics. 27 (3): 197–210. doi:10.1016/j.jmpt.2003.12.023. PMID 15129202.
 - ^ Foreman, A. Croft, S. Whiplash Injuries The Cervical Acceleration/Deceleration Syndrome. Williams and Wilkins. 428 E. Preston Street. Baltimore, MD. 21202 p 469
 - ^ Nordhoff, L. Motor Vehicle Collision Injuries, Mechanisms, Diagnosis and Management. Aspen Publisher, Inc. Gaithersburg, MD 1996 p 94
 - ^ Haldeman, S. Principles and Practice of Chiropractic. Appleton & Lange, 25 Van Zant Str., East Norwalk, CT. 1992 p 565
 - ^ WHO guidelines on basic training and safety in chiropractic. "2.1 Absolute contraindications to spinal manipulative therapy", p. 21. Archived 2020-04-29 at the Wayback Machine WHO
 - ^ Daniel, Dwain M (2007). "Non-surgical spinal decompression therapy: does the scientific literature support efficacy claims made in the advertising media?". Chiropractic & Osteopathy. 15 (1): 7. doi:10.1186/1746-1340-15-7. PMC 1887522. PMID 17511872.
 - ^ Be Wary of Spinal Decompression Therapy with VAX-D or Similar Devices Archived 2019-06-20 at the Wayback Machine, Stephen Barrett
 - ^ Manusov, EG (September 2012). "Surgical treatment of low back pain". Primary Care. 39 (3): 525–31. doi:10.1016/j.pop.2012.06.010. PMID 22958562.
 - ^ Book Chapter - Decision Making in Spinal Care - Chapter 61; Copyright 2013 by Thieme
 - ^ Rasouli, MR; Rahimi-Movaghar, V; Shokraneh, F; Moradi-Lakeh, M; Chou, R (Sep 4, 2014). "Minimally invasive discectomy versus microdiscectomy/open discectomy for symptomatic lumbar disc herniation". The Cochrane Database of Systematic Reviews. 9 (9): CD010328. doi:10.1002/14651858.CD010328.pub2. PMC 10961733. PMID 25184502. S2CID 25838265. 
{{cite journal}}: Check|pmc=value (help) - ^ Ahn, Yong; Choi, Gun; Lee, Sang-Ho (2016). "History of Lumbar Endoscopic Spinal Surgery and the Intradiskal Therapies". Advanced Concepts in Lumbar Degenerative Disk Disease. Berlin, Heidelberg: Springer Berlin Heidelberg. pp. 783–791. doi:10.1007/978-3-662-47756-4_53. ISBN 978-3-662-47755-7.
 - ^ Gibson, J. N. A.; Waddell, G. (2007-04-18). Gibson, JN Alastair (ed.). "Surgical interventions for lumbar disc prolapse". The Cochrane Database of Systematic Reviews. 2007 (2): CD001350. doi:10.1002/14651858.CD001350.pub4. ISSN 1469-493X. PMC 7028003. PMID 17443505.
 - ^ Oosterhuis, Teddy; Costa, Leonardo OP; Maher, Christopher G; de Vet, Henrica CW; van Tulder, Maurits W; Ostelo, Raymond WJG (2014-03-14). "Rehabilitation after lumbar disc surgery". Cochrane Database of Systematic Reviews. 2014 (3): CD003007. doi:10.1002/14651858.cd003007.pub3. ISSN 1465-1858. PMC 7138272. PMID 24627325.
 - ^ MedlinePlus Encyclopedia: Herniated nucleus pulposus Frequency
 - ^ Jacobs WC, Arts MP, van Tulder MW, et al. (November 2012). "Surgical techniques for sciatica due to herniated disc, a systematic review". Eur Spine J. 21 (11): 2232–51. doi:10.1007/s00586-012-2422-9. PMC 3481105. PMID 22814567.
 - ^ Marrone, Lisa (2008). Overcoming Back and Neck Pain. Harvest House. p. 37.
 - ^ Marrone, Lisa (2008). Overcoming Back and Neck Pain. Harvest House. p. 31.
 - ^ Leung VY, Chan D, Cheung KM (Aug 2006). "Regeneration of intervertebral disc by mesenchymal stem cells: potentials, limitations, and future direction". Eur Spine J. 15 (Suppl 3): S406–13. doi:10.1007/s00586-006-0183-z. PMC 2335386. PMID 16845553.
 
وصلات خارجية
| Classification | |
|---|---|
| External resources | 
- CS1 maint: location missing publisher
 - CS1 errors: PMC
 - الصفحات بخصائص غير محلولة
 - Short description is different from Wikidata
 - مقالات ذات عبارات بحاجة لمصادر
 - Articles with unsourced statements from December 2010
 - Articles with unsourced statements from October 2021
 - Articles with unsourced statements from January 2024
 - اضطرابات العمود الفقري
 - عظام العمود الفقري