المرض الفطري

(تم التحويل من Pathogenic fungi)

المرض الفُطْريPathogenic fungi مرض تسبِّبه أنواع من الفطريات تتغذى بأنسجة النباتات أو الحيوانات الحية. وهذه الطفيليات غالباً ماتسبِّب أمراضاً للنباتات والحيوانات التي تصيبها. أمراض النباتات. تشمل أهم أنواع الفطريات التي تعيش على النباتات، السِّناج والشقران والعفن الفُطري، وهي تصيب أنواعا كثيرة من النباتات وتؤثر فيها.

ثمة نوع من المرض الفطري، هو مرض الدردار الهولندي الذي يسببه الفطر، وقد أهلك كثيراً جدا من أشجار الدردار في أنحاء أوروبا وأمريكا الشمالية. وينتشر المرض الفُطري في النبات انتشاراً سريعاً أحياناً. وقد يستعمل الفلاحون مبيدات الفطريات وهي مواد كيميائية تقتل الفُطر لتجنب خسائر المحاصيل. ويحاول مهجنو السُّلالات النَّباتيَّة تطوير سلالَة تستطيع مقاومة تطفل الفطر.

أمراض الإنسان والحيوان

قد يسبب الفطر الذي يصيب الناس والحيوان اضطرابات جلدية وأمراضا خطيرة. والفُطارالشُّعاعي مرض فطري يصيب الأبقار والحيوانات الأخرى، ولكن نادراً ما يصيب الإنسان، وهناك أمراض أخرى فطرية تصيب الإنسان، وتشمل الفُطَار البُرْعُمي، والفُطَار الكُرَواني، وداء المبْيضَّات، وهذه الأمراض تهاجم الرئتين. والقلاع (السلاق) مرض فطري يصيب الحلق، وأكثر من يصاب به الأطفال. وتؤثر السعفة (القوباء الحلقية) أو الحكَّة في أجزاء من الجسم.

وتساعد أنواع مختلفة من البكتيريا التي تعيش على الجلد والغشاء المخاطي على منع العدوى بالأمراض الفُطرية، كما أن استخدام بعض المضادات الحيوية لمعالجة العدوى البكتيرية يؤدي أحيانا إلى إهلاك بكتيريا الجسم النافعة أيضا، وفي مثل هذه الحالات قد تحدث عَدْوى فُطرية. وعلى أية حال، يستطيع الأطباء معالجة كثير من عدوى الفُطر بالمضادات الحيوية.

المبيضات

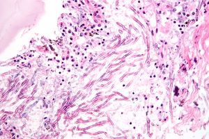
الرشاشيات

Aspergillosis. H&E stain.

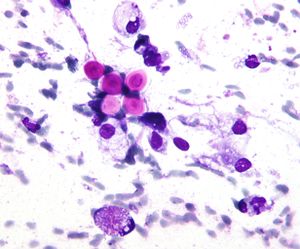
Cryptococcus

Cryptococcus. FNA specimen. Field stain.

الرئوي

Stachybotrys

مقاومة الأدوية

كثيراً ما ينتج عن استعمال الأدوية المضادة للفطريات ظهور سلالات مقاومة من الفطر.

Endothermy

انظر أيضاً

المصادر