استبدال الركبة
| استبدال الركبة Knee replacement  | |
|---|---|
| تدخل | |
| ICD-10-PCS | 0SRD0JZ | 
| ICD-9-CM | 81.54 | 
| MeSH | D019645 | 
| MedlinePlus | 002974 | 
| eMedicine | 1250275 | 
استبدال الركبة Knee replacement، أو تقويم مفصل الركبة، هي عملية جراحية لاستبدال الأسطح التي تحمل الوزن في مفصل الركبة لعلاج الألم وعدم القدرة على الحركة. يشيع إجرائها للمصابين بهشاشة العظام،[1] وكذلك لمن يعانون من أمراض الركبة مثل التهاب المفاصل الرثياني والتهاب المفاصل. ويمكن إجراؤها لأمراض الركبة للمرضى الذين يعانون من تشوهات شديدة من التهاب المفاصل المتطور، والصدمات النفسية، أو هشاشة العظام الطويلة الأمد، قد تكون الجراحة أكثر تعقيدا وتحمل مخاطر أعلى. لكن هشاشة العظام لا تسبب عادة آلام في الركبة أوتشوه، أو الألتهاب وليست سببا لتنفيذ استبدال الركبة.
الأسباب الرئيسية الأخرى تشمل الآلام الموهنة مثل الغضروف المفصلي، وعيوب الغضروف، وآلام الأربطة الموهنة من هشاشة العظام وهو أكثر شيوعا في كبار السن.
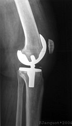
جراحة إستبدال الركبة يمكن أن تكون إستبدالا جزئياً أو إستبدال الركبة بالكامل.[2] في الإستبدال بصفة عامة تتكون من جراحة استبدال الأسطح المريضة أو التالفة للركبة بأجزاء معدنية أو بلاستيكية على شكل مكونات تسمح باستمرار حركة الركبة.
وهذه الجراحة تشتمل على ألم كالذى ينشأ بعد الجراحات الكبرى، وتشتمل إعادة التأهيل البدني لتقوية العضلات. وفترة الشفاء قد يكون 6 أسابيع أو أكثر، وربما تنطوي على استخدام الوسائل المعينة على التنقل (مثل الإطارات والمشي، والعصي، والعكاكيز) لتمكين عودة المريض للتنقل كما كان قبل الجراحة.[3]
من خلال الجراحة يتم استئصال أسطح المفصل المصاب واستبدالها بمفصل صناعي. ويمكن أن تؤدي هذه الجراحة إلى تخفيف الألم وتحسين الحركة في مفصل الركبة.
هنالك بدائل أخرى لعملية استبدال مفصل الركبة مثل عملية تنظير المفصل arthroscopy أو عملية قطع العظم osteotomy، وفقا لعمر المريض وحالة المفصل.
التاريخ
مفصل الركبة الطبيعي
الركبة هي عبارة عن مفصل رزّي حيث يلتقي طرف عظم الفخذ بالجزء العلوي من العظم الأكبر لأسفل الساق (قصبة الساق). تشتمل الركبة الصحية على غضروف أملس يُغطي أطراف العظام. ينزلق العظمان بسلاسة بينما تقوم بثني الركبة. وتعمل العضلات والأربطة الموجودة حول مفصل الركبة على تدعيم الوزن والمساعدة على تحريك المفصل بسلاسة أثناء السير. مفصل الركبة التالف: يمكن أن تتلف الطبقات الغضروفية الملساء على طرفي العظام. كما قد يتلف الغضروف مع تقدم السن أو نتيجة الإصابة أو التهاب المفاصل أو الآثار الجانبية لأدوية معينة. وعندما تتلف أسطح العظام والغضروف، فإنها تُصبح خشنة، مثل ورق السنفرة. وأثناء تحريك الساق، تحتك العظام بشدة وتشعر بالألم والتيبس.[4]
الاستخدامات الطبية
يتم عادة إجراء استبدال كامل لمفصل الركبة في أحد الحالات التالية: - كانت العلاجات الأخرى، مثل الأدوية أو الحقن بالاستيرويد والعلاج الطبيعي، لم تعد توقف الألم أو تساعد على حركة المفصل. - كان الألم أو صعوبة الحركة السيئة في الركبة تعيق المريض عن ممارسة الأنشطة المعتادة. جراحة استبدال مفصل الركبة: أثناء الجراحة، يتم استئصال الغضروف التالف وأطراف عظام مفصل الركبة. ويتم إنشاء مفصل جديد باستخدام مفصل صناعي مصنوع من معدن وبلاستيك شديد القوة. و يمكن تثبيت أجزاء المفصل الجديد في موضعها باستخدام مادة لاصقة خاصة بالعظام. يشتمل المعدن على سطح مسامي ينمو عليه العظم بينما يلتئم لإحكام التثبيت، و يتم عادة تقديم المساعدة اللازمة للتمكن من الوقوف وبدء السير باستخدام مشاية يوم الجراحة أو اليوم التالي لها. قد يشعر المريض الذي يخضع للجراحة ببعض الألم أثناء فترة التئام الأنسجة واستعادة العضلات لقوتها. وينبغي أن يختفي هذا الألم خلال أسابيع قليلة، و قد يعطى المريض أدوية مسكنة لتخفيف الألم و المساعدة على التعافي من الجراحة. ومع المفصل الجديد والعلاج الطبيعي، يتمكن معظم المرضى من استئناف بعض الأنشطة الطبيعية التي كانوا يقومون بها.
هدف الجراحة
تهدف عملية استبدال مفصل الركبة إلى علاج تآكل الغضروف في مفصل الركبة، الذي يحدث غالباً نتيجة لالتهاب المفاصل المزمن، على اختلاف أنواعه، خصوصا الفصال العظمي Osteoarthritis، الذي يؤدي إلى تحديد قدرة المريض على تحريك مفصل الركبة، وتعتمد العملية على استبدال المفصل المصاب بمفصل ركبة اصطناعي.
تزداد نسبة الإصابة بالفصال العظمي مع التقدم بالسن، حيث يحدث تضيق في الحيز المفصلي السليم، وتنكشف العظمة إلى تجويف المفصل. مع مرور الوقت تظهر آلام كثيرة، تصلب مفصلي وتقييدات ملحوظة في الحركة، والتي لا تتيح للرجل بأن تتحرك بشكل سليم أثناء المشي. يتم اجراء هذه العملية للمرضى الذين لا تتحسن حالتهم بمساعدة العلاج المحافظ (ممارسة الرياضة، المعالجة الفيزيائية أو استخدام الأدوية المضادة للالتهاب)، وعندما لا يكون بوسع المريض مزاولة نشاطاته اليومية، مما يؤثر سلبا على جودة حياة المريض.
إستعدادات ما قبل الجراحة
قبل اجراء عملية استبدال مفصل الركبة، يتم ارسال المريض لاجراء فحوصات، حسب الحاجة، وفقا لجيل المريض والأمراض التي يعاني منها. معظم المرضى الذين يخضعون لهذه العملية هم كبار في السن نسبياً، وغالبا ما يكونون بحاجة لاجراء فحوصات للدم والتي تشمل: العد الدموي الشامل، كيمياء الدم، تخثر الدم، فحص البول، ووظائف الكلى والكبد. بالاضافة إلى ذلك، يتم اجراء فحص تخطيط كهربية القلب وتصوير الصدر بالأشعة السينية للرجال فوق سن 55 والنساء سن 60.
يقوم الطبيب بارسال المريض لاجراء فحص تصوير للركبة، أحياناً يكتفي الطبيب باجراء فحص تصوير بالأشعة السينية، ولكن غالبا يتم اجراء فحص التصوير المقطعي المحوسب للركبة أو التصوير بالرنين المغناطيسي.
يتم اجراء عملية استبدال مفصل الركبة تحت تأثير التخدير العام أو الموضعي (نخاعي/فوق الجافية). يجب استشارة الطبيب الجراح بخصوص الأدوية التي يجب التوقف عن تناولها في الأيام التي تسبق اجراء العملية، ويجب الصوم بشكل كامل لمدة 8 ساعات قبل العملية.
التقنية
بعد اجراء تعقيم شامل لمنطقة العملية، يتم احداث شق بطول 8-12 سم في الجزء الأمامي من الركبة. عند كشف الحيز في مفصل الركبة، يقوم الجراح باخراج الأنسجة الغضروفية والعظمية الزائدة، التي تؤثر سلباً على الحيز في مفصل الركبة.[5]
لاحقا، يتم تعديل أسطح المفصل بحيث تستطيع احتواء المفصل الاصطناعي المركب من البلاستيك والمعدن. يتم الصاق المفصل الاصطناعي بعظمة الفخذ، الساق والرضفة، بواسطة مادة ملاطية أو مادة أخرى، تستعمل كمادة لاصقة فسيولوجية. من ثم، يتم تثبيت المفصل الاصطناعي إلى عضلات الركبة والأربطة الداعمة للمفصل، من أجل الحصول على أداء حركي في المفصل بشكل مماثل للوضع الطبيعي. يتكون الجزء الملتصق بعظمة الفخذ من معدن صلب وأملس، والذي يستطيع تحمل أوزان ثقيلة. يتم تغطية المفصل بضمادة مرنة.
الأنواع
الاستبدال الجزئي للركبة
تأهيل ما بعد الجراحة
غالباً ما يمكث المريض في المستشفى لعدة أيام (3-5 أيام حسب الحاجة) بعد القيام بعملية استبدال مفصل الركبة.
يمكن استخدام مسكنات للألم، في حال شعر المريض بالألم.
في جميع الحالات التي تظهر بها آلام لا تختفي باستعمال مسكنات الألم، أعراض عصبية مثل فقدان الاحساس (الخدر) أو الضعف، صداع، ارتفاع حرارة الجسم، افرازات أو نزيف من الجرح – يجب التوجه فورا لاجراء فحص طبي.
أكد معظم المرضى على حدوث تحسن ملحوظ في الأداء اليومي بعد اجراء عملية استبدال مفصل الركبة. يمكن ملاحظة هذا التحسن بعد ما يقارب شهر على مرور العملية. تختفي الآلام بشكل كلي بعد مرور عدة أسابيع.
التحرك في مرحلة مبكرة، أي قدرة المريض على أن يدوس على رجله بعد مرور يوم من اجراء العملية، يحسن من المال (prognosis)، ولكن يجب تجنب القيام بحركات حادة، ثني أو دوران مفصل الركبة.
المخاطر
المخاطر العامة
- عدوى في الشق الجراحي– غالباً ما تكون سطحية ويتم علاجها بشكل موضعي، ولكن أحياناً يمكن أن تحدث عدوى أكثر خطورة في الأنسجة الموجودة تحت الجلد وحتى في المفصل ذاته، الأمر الذي قد يوجب فتح الشق من جديد من أجل ازالة البقايا الجرثومية.
 - نزيف- وخاصة في منطقة العملية الجراحية كنتيجة للرضح الموضعي للانسجة، ولكن، في حالات نادرة، يمكن ان تظهر انزفة مجموعية, توجب اعطاء وجبات من الدم. يمكن ان يحدث النزيف فورا بعد العملية الجراحية، وحتى بعد 24 ساعة من العملية وفي حالات نادرة جدا يمكن ان يظهر النزيف بعد عدة اسابيع او بعد مرور اشهر.
 
هنالك حاجة لتصريف الدم في حال وجود نزيف كبير.
- ندوب- تتعلق طبيعة شفاء الندوب بنجاعة الغرز الجراحية وبالعوامل الوراثية. ليست هنالك وسيلة لتنبؤ طريقة شفاء الندوب بعد العملية.
 - مخاطر التخدير- غالبا ما يدور الحديث عن ظواهر تتعلق بفرط التحسس تجاه الادوية المخدرة (استجابة ارجية). في بعض الحالات النادرة، يمكن ان يحدث هبوط شديد في ضغط الدم (صدمة تاقية anaphylactic shock).
 
المخاطر الخاصة
- ضرر عصبي– يمكن ان يحدث، في حالات نادرة، نظرا للقرب الكبير بين المفصل والاعصاب التي تمر من النخاع الشوكي الى القدم.
 - تعرض الأربطة أو العضلات للضرر– نظرا لازالة اجزاء كبيرة من المفصل، فقد يلحق ذلك احيانا الضرر بالأنسجة الرخوة، كالجرح او تمزق العضلة او تمزق الاربطة.
 - انصمام دهني fat embolism– عندما يقوم جزء من نقي العظم بالانفصال عن النسيج والوصول عن طريق مجرى الدم الى الاوعية الدموية الرئوية والتسبب بانسدادها – يمكن ان يتمثل الانصمام الدهني بظهور ضيق في التنفس بعد اجراء العملية والتي توجب القيام بالاستفسار والعلاج بشكل فوري. نادر الحدوث.
 
علم الأوبئة
انظر أيضاً
- Autologous chondrocyte implantation
 - Microfracture surgery
 - خشونة الركبة
 - Osseointegration
 - Meniscus transplant
 
مرئيات
<embed width="320" height="240" quality="high" bgcolor="#000000" name="main" id="main" >http://media.marefa.org/modules/vPlayer/vPlayer.swf?f=http://media.marefa.org/modules/vPlayer/vPlayercfg.php?fid=e8ebfab08eba5f49632" allowscriptaccess="always" allowfullscreen="false" type="application/x-shockwave-flash"/</embed> 
 | 
شرح توضيحي لجراحة استبدال الركبة.
المصادر
 وصلات خارجية
  | 

