تفشي بكتريا الإشريشيا المعوية 2011
| تفشي بكتريا الإشريشيا المعوية 2011 | |
|---|---|
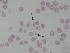
| Schizocytes seen in a person with HUS | |
| التبويب والمصادر الخارجية | |
| Patient UK | فشل عرض الخاصية P1461: لم يتم العثور على الخاصية P1461. تفشي بكتريا الإشريشيا المعوية 2011 |
تفشي الإشريشيا المعوية أو104:إتش4 2011 2011 Escherichia coli O104:H4 outbreak، هي حالة تفشي لبكتريا الإشريشيا المعوية بدأت في ألمانيا في مايو 2011.
وباءالإيشيرشيا المعوية هو شكل رئيسي من أشكال التسمم الغذائي وبدأ اندلاع الوباء بعدا أصيب عدة اشخاص بنوع البكتيريا التي تؤدي إلى متلازمة انحلال الدم اليوريمي في ألمانيا. متلازمة الانحلالية يوريمي (اتش يو اس) وهي من حالات الطوارئ الطبية وتتطلب معالجة عاجلة. و قد قتل 18 شخصا [1] وأشار المسؤولون الألمان في البداية أشاروا أن لخيار الملوث ومصدره اسبانيا هو سبب تفشى الوباء ، ولكنهم اعترفوا لاحقا أن الخيار الاسباني لم يكن مصدر إى كولاي .[2] وقد أعربت إسبانيا عن غضبها للربط غير المدعم بالأدلة الذى ساقته ألمانيا بين الخيار الاسباني والبكتيريا القاتلة إى كولاي المتفشية.[3]
بالإضافة إلى ألمانيا، ظهرت حالات في سويسرا، بولندا، هولندا، السويد، الدنمارك، والمملكة المتحدة.[4]
متلازمة المستدمية اليورمية الحالة للدم (HUS) هي حالة طوارئ طبية وتحتاج إلى العلاج الفوري. في ألمانيا، توفى 15 شخص ويجرى علاج حوالي 500 شخص في المستشفيات بعد التحقق من إصابتهم.
أصل الوباء
منذ 2 مايو 2011، أبلغت السلطات الصحية الألمانية تفشي هذا المرض في المانيا من مرض شديد وقد دعى متلازمة الانحلال اليوريمي (اتش يو اس) .[5] في 22 مايو 2011، هيئة الصحة الألمانية أبلغت أن "لدينا موقف غير عادي بشكل واضح "، عن ارتفاع حالات الإشريشية القولونية (EHEC)، وبعد وفاة أول حالة في المانيا يوم 21 مايو.وقد كانت عدوى «إى كولاي» عدوى تحدث في ألمانيا بشكل منتظم، وأصيب 800 حتي 1200 شخص سنويا، ولكنها عادة تكونإصابات خفيفة [6][7]
في 26 مايو 2011، أعلن مسؤولو الصحة الألمانية أن الخيار الذى مصدره من اسبانيا هو المصدر للالإشريشية القولونية «المتفشية في ألمانيا .[8]في 27 مايو 2011، أصدرت السلطات الألمانية تنبيها وقامت بتوزيعه على الدول المجاورة، وتحديد الخيار المجلوب من اسبانيا وسحبه من الأسواق.[9] وقالت المفوضية الاوروبية يوم 27 مايو أن دفيئتين اسبانيتين ان ويشتبه في أن يكونو مصدرا قد أغلقتا، ويجري التحقيق فيهما .[10][11] وشمل التحقيق تحليل عينات التربة والمياه من الدفيئات الزراعية في السؤال، وتقع في منطقة الأندلس، مع النتائج المتوقعة من 1 يونيو .[12]إن عينات الخيار من الدفيئات الأندلسية لا تظهر التلوث بجرثومةإى كولاي »,[13][14][15] ولكن يعد التلوث خلال النقل في ألمانيا أو التوزيع في هامبورغ ، في الواقع، هو السبب الأكثر احتمالا وهو التلوث داخل ألمانيا .[16][17] وقام معهد روبرت كوخ بتقديم نصيحة بعدم تناول الطعام الخام مثل خضراوات الطماطم والخيار والخس في ألمانيا لمنع حالات أخرى .[18]
في 31 مايو 2011، قال مسؤولون بالاتحاد الاوروبي ان طرق النقل كانت طويلة بحيث كان من الممكن للخيار من اسبانيا أن يصاب بالتلوث في أي لحظة على طول الطريق العابر .[19] وقال مسؤولون أسبان ، قبل ذلك أنه لم يكن هناك دليل على أن تفشى العدوى نشأت في اسبانيا وقال وزير الدولة الاسباني للشؤون الاوروبية دييغو لوبيز غاريدو ؛ انه "لا يمكنك أن تربط أصل هذا المرض الى اسبانيا". [11]
يوم الثلاثاء 31 مايو، وأظهرت الاختبارات المعملية أن فحص اثنين من أربعة من الخيار لم تحتوي على البكتيريا السمية المنتجة «إى.كولاى» سلالات، على الأرجح بسبب التلوث المتبادل في ألمانيا وفقا للخبراء ,[17] ولكن ليست السلالة O104 التى وجدت لدى المرضى.لم توجد البكتيريا في اثنتين من ثمار الخيار الأخرتين ولم يتم تحديدها بعد. وقد لا يوجد احتمالات أخرى أقترحت رسميا.
كشف التسلسل الجينومى أن البكتيريا المسببة للمرض تنتمي إلى "السلالة الجديدة الفائقة السمية"، وهو هجين التي قد اكتسبت بعض القدرات الأكثر ضراوة إنتيرو نيجاتيف إى.كولاى تسلسل من ive هاء كولاي » ( (EAEC أو النقل الجينى الأفقى) ) EAggEC بواسطة سلالات من قبل نقل الجينات الأفقي .[20][21][22]
The Brno Research Institute confirmed cases in the Czech Republic on 1 June.[23] It was confirmed that cases caused by the new strain had been found in the UK and Germany by 2 June.[24]
According to an article taken from Der Spiegel published on 31 May, possible causes of the outbreak, spreading the bacteria to plants, included liquid manure, contaminated water and Spanish slugs, that "has long been a problem in Germany, but it's an even bigger and more widespread problem in its native Spain" German media says.[25][26]
The only previous documented outbreak of EHEC O104:H4 was in Korea in 2005 and researchers pointed at contaminated burgers as a possible cause.[27] As of 1 June, the source of 2011 E. coli outbreak is still unknown.[28][29]
On June 4, German and EU officials had allegedly been examining data that indicated that restaurant in Luebeck, Germany, as a possible starting point of the on-going deadly E. coli outbreak in Europe. [30][31]
Precautions
General health
اعتبارا من 3 يونيو 2011[تحديث] the cause of the outbreak is not known. However, general guidelines for prevention have been published[32] E. coli gets into humans through contaminated food or water; if from food either from watering plants with contaminated water, or from faecal material in the soil. The UK Health Protection Agency recommends washing hands regularly to prevent person-to-person spread, washing vegetables to help remove surface bacteria, and peeling or cooking.
In Britain between 1992 and 2000 nearly 6% of food-poisoning outbreaks were associated with prepared vegetables and salads. In 1996 a study of samples of bagged salad found 13% contained E. coli. But outbreaks of E. coli linked to fruits and vegetables are very rare.[33]
However, some micro-organisms, including E. coli, Campylobacter and Listeria can cause illness even in low doses (100 E. coli O104:H4 bacteria[26]) while others, such as Salmonella, need millions of bacteria to establish an infection.
Affected countries
Most or all victims اعتبارا من 3 يونيو 2011[تحديث] were believed to have become infected in Germany, although here are listed according to their location when diagnosed.
| Country | Deaths | Confirmed cases | Suspected cases |
|---|---|---|---|
| 18[35] | 450 | 1,213[36] | |
| 0 | 3 | - | |
| 1 | 41 | - | |
| 0 | 14 | 26 | |
| 0 | 2 | - | |
| 0 | 10[37] | 3[38] | |
| 0 | 1[39] | - | |
| 0 | 2[28] | 0 | |
| 0 | 2 | - | |
| 0 | - | 1 | |
| 0 | 0 | 1[40][41][42] | |
| 0 | 1 | - | |
| 0 | 4[43] | - | |
| 0 | 1[44][45] | 7 | |
| Total | 19 | 530 | 1,251 |
البلدان المتأثرة
- إسپانيا:
- إسپانيا:
- السويد:
- الدنمارك:
- هولندا:
- المملكة المتحدة:
- سويسرا:
- فنلندا:
- بولندا:
- المملكة المتحدة:
المنشأ
وفقا لمسؤلين من ألمانيا، أن الخيار من الخضروات الملوثة عضويا حيث بلد المنشأ اسبانيا وقد تم شحنه إلى ألمانيا وبلدان أخرى ، وقال متحدث باسم الاتحاد الاوروبي يوم 30 مايو ان اثنتين من الدفيئات الزراعية الاسبانية قد أشتبه في أنهما مصادر للتفشى كانت قد أغلقت ويجري فحصهما .[11] وشمل التحقيق تحليل عينات التربة والمياه من الدفيئات الزراعية محل الشك وتقع في منطقة الأندلس، وكانت النتائج من المتوقع صدورها في 1 يونيو .[12]
المسؤولين الاسبان، مع ذلك، قالوا انه لا يوجد دليل على أن التلوث جاء من أسبانيا؛ وزير الدولة الاسباني للشؤون الأوروبية دييغو غاريدو قال ان "لا يمكنك أن تنسب منشأ هذا المرض إلى إسبانيا ."[11]
On Tuesday 31 May, lab tests showed that two of the four cucumbers examined did contain toxin-producing E. coli strains, but not the O104 strain that was found in patients; this means that Spanish cucumbers are not the source of the outbreak and German authorities have to start over in their search for the source. The bacteria in the other two cucumbers have not yet been identified. No other possibilities have been officially proposed. Paul Hunter, professor of health protection at the University of East Anglia located in Norwich, United Kingdom, pointed out that salads are a regular cause of outbreaks of food borne diseases including STEC, like this one, and salmonella.[28] As of the first of June, the source is still unknown.[28]
ردود الفعل داخل الاتحاد الاوروپي
بلجيكا
حظرت بلجيكا استيراد الخيار الإسپاني في 31 مايو.[46]
إسپانيا
On 30 May, the Spanish government said that it was considering requesting compensation from Germany, claiming that "tremendous damage" had been done to the country's agricultural sector as a result of reduced exports stemming from the incompetent way Germany handled the outbreak.[47] Since the beginning of the crisis, farms in the Andalusian region were estimated to have lost up to eight million euros per day.[48]
ألمانيا
By May 31, Andreas Hensel, president of Germany's Federal Institute for Risk Assessment, told ZDF television in an interview that "we have found the so-called EHEC pathogens on cucumbers, but that does not mean that they are responsible for the whole outbreak." [19] By May 31, Denmark’s Veterinary and Food Administration said it was concerned by the suspicion that Danish cucumbers were involved and began testing samples to reassure consumers. [19]
هولندا
By May 31, The Dutch Food and Wares Authority spokeswoman Marian Bestelink, said that investigations made of the business run by the local Dutch cucumber grower and Dutch warehouse did not uncover any traces of the bacteria at that time. [19] The Netherlands had also stopped exporting cucumbers to Germany on May 31.[46]
الدنمارك
By May 31, Denmark’s Veterinary and Food Administration said it was concerned by the suspicion that Danish cucumbers were involved and began testing samples to reassure consumers. [19]
إيطاليا
By May 31, Italy's Europhobic agriculture lobby, Coldiretti, had also used the outbreak to urge Italians to support their local growers and avoid imports by May 31. [19]
النمسا
On May 31st, Austrian authorities inspected 33 organic supermarkets Monday to make sure Spanish vegetables had been removed. The move came after an apparently overzealous recall and ban on sales of both cucumbers, tomatoes s and aubergines (eggplants) that had originated in Spain and were delivered to Austrian food stores by various German companies. [19]
التشيك
The Czech Government officials said that their labs had tested a total 120 potentially tainted Spanish cucumbers the 29th as an interim safety measure, but refused to cast blame for the outbreak, which had yet to reach the Czech Republic by that date. [19]
الاستجابة في البلدان الأخرى
ألبانيا
حظرت ألبانيا استيراد الخيار الإسپاني في 30 مايو، بالغرب من تصريحات وزير الصحة پتريت ڤازيلي أن ألبانيا بعيدة عن خطر الاصابة حيث لا تستورد أي نوع من الخيار وتعتمد على الناتج المحلي.[49]
روسيا
حظرت روسيا استيراد الخيار الإسپاني في 30 مايو.[22]
المملكة المتحدة
في 31 مايو، صرحت خبيرة سلاممة الأغذية في منظمة الصحة العالمية هيلده كروس "أن جميع الحالات المبلغ عن اصابتها في البلدان الأخرى إما من المقيمين أو المسافرين إلى ألمانيا" وأن ألمانيا لازالت من أكثر البلدان إصابة. [19]
انظرر أيضا
المصادر
- ^
ref name="globemail">"Toll climbs in European E. coli outbreak". The Globe and Mail. 30 مايو 2011. Archived from the original on 30 مايو 2011. Retrieved 31 مايو 2011.
{{cite web}}: Unknown parameter|deadlink=ignored (|url-status=suggested) (help) - ^ "Germany now say Spanish cucumbers not source of E. coli". Euskal Irrati Telebista. 31 مايو 2011. Retrieved 31 مايو 2011.
- ^ "E. coli cucumber scare: Spain angry at German claims". BBC. 31 مايو 2011. Retrieved 31 مايو 2011.
- ^ "E. coli cucumber scare: Russia announces import ban". BBC News Online. 30 مايو 2011. Archived from the original on 30 مايو 2011. Retrieved 30 مايو 2011.
- ^ "CDC - germany outbreak". C.cdc.gov. Retrieved 4 يونيو 2011.
- ^ "Scientists hunt source of life-threatening stomach bug". Thelocal.de. 18 مايو 2011. Retrieved 4 يونيو 2011.
- ^ "First death in German E. coli outbreak; up to 200 sick | barfblog". Barfblog.foodsafety.ksu.edu. 24 مايو 2011. Retrieved 4 يونيو 2011.
- ^ "thelocal.de". thelocal.de. Retrieved 4 يونيو 2011.
- ^ خطأ استشهاد: وسم
<ref>غير صحيح؛ لا نص تم توفيره للمراجع المسماةNOTIF_REFERENCE_20110703 - ^ Rapid Alert System for Food and Feed
- ^ أ ب ت ث "E. coli cucumber scare: Germany seeks source of outbreak". BBC News Online. 30 مايو 2011. Archived from the original on 30 مايو 2011. Retrieved 30 مايو 2011.
- ^ أ ب "'Killer cucumbers' row breaks out between Spain and Germany". The Telegraph. 30 مايو 2011. Archived from the original on 30 مايو 2011. Retrieved 30 مايو 2011.
- ^ "Efforts intensify to identify source of ''E. coli'' outbreak in Germany as final tests clear Spanish cucumbers". Europa.eu. Retrieved 4 يونيو 2011.
- ^ "Europe lifts cucumber warning - The Irish Times - Wed, 1 June 2011". The Irish Times. Retrieved 4 يونيو 2011.
- ^ "Ministry of Health Spain". Msps.es. Retrieved 4 يونيو 2011.
- ^ "E.coli outbreak kills Swedish woman as death toll hits 16 but cucumbers are NOT to blame | Mail Online". Dailymail.co.uk. Retrieved 4 يونيو 2011.
- ^ أ ب "Cucumbers in clear – so what is causing deadly E.coli outbreak? - Health News, Health & Families". The Independent. Retrieved 4 يونيو 2011.
- ^ "Robert Koch Institute". Rki.de. Retrieved 4 يونيو 2011.
- ^ أ ب ت ث ج ح خ د ذ Europeans trade blame over E.coli outbreak, Belgium Health - Maktoob News
- ^ "BGI Sequences Genome of the Deadly E. Coli in Germany and Reveals New Super-Toxic Strain". BGI. 2 يونيو 2011. Retrieved 2 يونيو 2011.
- ^ David Tribe (2 يونيو 2011). "BGI Sequencing news: German EHEC strain is a chimera created by horizontal gene transfer". Retrieved 2 يونيو 2011.
- ^ أ ب Maev Kennedy and agencies. "E. coli outbreak: WHO says bacterium is a new strain | World news". guardian.co.uk. Retrieved 4 يونيو 2011. خطأ استشهاد: وسم
<ref>غير صالح؛ الاسم "autogenerated1" معرف أكثر من مرة بمحتويات مختلفة. - ^ "CTV Winnipeg- E. coli in Europe outbreak a new strain, says WHO - CTV News". Winnipeg.ctv.ca. 31 ديسمبر 2007. Retrieved 4 يونيو 2011.
- ^ "Video: E.coli Outbreak Centred On New Strain Of Bacteria Not Seen Before, More Cases In UK | World News | Sky News". News.sky.com. Retrieved 4 يونيو 2011.
- ^ "Could Vector of European E. coli O104:H4 Outbreak be Slugs? : Food Poison Journal : Food Poisoning Lawyer & Attorney : Bill Marler : Marler Clark". Food Poison Journal. 31 مايو 2011. Retrieved 4 يونيو 2011.
- ^ أ ب "The Epidemic Detectives: The Hunt for the Source of Germany's E. Coli Outbreak". DER SPIEGEL ONLINE. 31 مايو 2011. Retrieved 4 يونيو 2011.
- ^ "A Case of Hemolytic Uremic Syndrome Caused by Escherichia coli O104:H4", Yonsei Medical Journal, Vol. 47, No. 3, pp. 437 - 439, 2006
- ^ أ ب ت ث Dunmore, Charlie; Hans-Edzard Busemann (1 June 2011) Two cases of E. coli confirmed in Austria. Expatica.com, 27/05/2011 خطأ استشهاد: وسم
<ref>غير صالح؛ الاسم "reuters-2011-06-01" معرف أكثر من مرة بمحتويات مختلفة. - ^ خطأ استشهاد: وسم
<ref>غير صحيح؛ لا نص تم توفيره للمراجع المسماةautogenerated4 - ^ M3 Web - http://m3web.bg. "Bulgaria: Bulgarian Trade Registry Claims It Was 'Sabotaged' - Novinite.com - Sofia News Agency". Novinite.com. Retrieved 4 يونيو 2011.
{{cite web}}: External link in(help)CS1 maint: numeric names: authors list (link)|author= - ^ M3 Web - http://m3web.bg (18 مارس 2011). "Bulgaria: E. Coli Outbreak Started from German Restaurant - Report - Novinite.com - Sofia News Agency". Novinite.com. Retrieved 4 يونيو 2011.
{{cite web}}: External link in(help)CS1 maint: numeric names: authors list (link)|author= - ^ Guardian newspaper: E. coli: the deadly European outbreak. 2 June 2011
- ^ "Is it safe to eat salad?". Guardian. 1 يونيو 2011.
- ^ Noticia 20minutos.es
- ^ خطأ استشهاد: وسم
<ref>غير صحيح؛ لا نص تم توفيره للمراجع المسماةSpiegel - ^ "E. coli outbreak: Germany appeals for blood donors". BBC. 3 يونيو 2011. Retrieved 3 يونيو 2011.
- ^ InVS
- ^ Infected cucumbers: three suspicious cases in France . lemonde.fr. Retrieved on 1 June 2011.
- ^ Hospitalizan a un hombre en San Sebastián por infección de 'E.coli'
- ^ Há três casos suspeitos em Portugal de infecção com a bactéria E. coli - Mundo - PUBLICO.PT
- ^ Suspeita de um madeirense de 40 anos infectado no Hospital do Funchal | DNOTICIAS.PT
- ^ Dois dos casos suspeitos de infecção por E. coli deram negativo e terceiro está estável Público, 3 June 2011.
- ^ http://www.foxnews.com/health/2011/06/04/4-in-us-now-linked-to-german-e-coli-outbreak/?test=latestnews
- ^ One case of E.coli infection confirmed, seven others being tested
- ^ Food Safety Expert Calls on U.S. to "Get Proactive" About E. coli | Benzinga.com
- ^ أ ب E.coli Cucumbers kill throughout Europe
- ^ "Spain considers compensation claim over cucumber deaths blame". Euro Weekly News. 30 مايو 2011. Archived from the original on 30 مايو 2011. Retrieved 31 مايو 2011.
- ^ "Spain mulls action over blame for E. coli outbreak". Reuters. 30 مايو 2011. Archived from the original on 30 مايو 2011. Retrieved 31 مايو 2011.
- ^ Albania bans cucumber imports / top-channel.tv
- الصفحات بخصائص غير محلولة
- CS1 errors: unsupported parameter
- CS1 maint: numeric names: authors list
- Articles with contributors link
- مقالات فيها عبارات متقادمة منذ يونيو 2011
- جميع المقالات التي فيها عبارات متقادمة
- Use dmy dates from May 2011
- 2010s medical outbreaks
- إشريشيا معوية
- 2011 في ألمانيا
- 2011 في سويسرا
- 2011 في بولندا
- 2011 في هولندا
- 2011 في السويد
- 2011 في المملكة المتحدة
- 2011 في الدنمارك
