نسيج شحمي أسمر

(تم التحويل من دهن بني)
'
Brownfat PETCT.jpg
النسيج الشحمي الأسمر لدى إمرأة تجري فحص PET/CT exam
Details
Identifiers
اللاتينيةtextus adiposus fuscus
MeSHD002001
THTH {{{2}}}.html HH2.00.03.4.00004 .{{{2}}}.{{{3}}}
FMA20118
المصطلحات التشريحية

الدهون البنية Brown adipose tissue، هي واحدة من نوعين من الدهون (الآخر: الدهون البيضاء) والتي تتواجد في أنسجة معظم أنواع الثدييات.[1] الوظيفة الأساسية للدهون البنية هي توليد الطاقة الحرارية لتدفئة الجسم.

الوظيفة

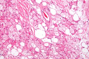
Micrograph of a hibernoma, a benign tumour thought to arise from brown fat. H&E stain.

توجد الدهون أو الشحوم في أجسام الثدييات إما على شكل دهن أبيض أو دهن بني. ويعتبر النسيج الدهني بصفة عامة مصدرًا غنيًّا لإنتاج الطاقة حيث يعتبر النسيج الدهني الأبيض مستودعًا للطاقة يقوم بتزويد الجسم بحاجته من الوقود اللازم في حالات نقص الوقود الأساسي (الجلوكوز) كما يحدث أثناء الصوم أو التعرض للمجاعة. أما بالنسبة للدهن البني فمن المعروف أن احتراق الوقود بأنواعه المختلفة (كربوهيدرات، دهون، بروتينات) في جميع أنسجة أعضاء الجسم ينتج عنه بصفة أساسية طاقة Energy إضافة إلى انبعاث حرارة Heat كمحصلة ثانوية لعملية الاحتراق. إلا أن النسيج الدهني البني يعتبر العضو الوحيد في أجسام الحيوانات الذي يقوم بإنتاج كميات عالية من الحرارة كناتج أساسي لعملية الاحتراق مما يؤدي إلى ارتفاع درجة حرارة جسم الكائن الحي, لذا فهو يشبه في عمله جهاز التدفئة الداخلية للجسم. [2]

خصائص الدهون البنية

على الرغم من أن اكتشاف الدهون البنية تم منذ أكثر من 400 سنة إلّا أنها استحوذت على اهتمام علماء الأحياء في النصف الثاني من القرن العشرين قبل حوالي 35 عامًا نظرًا لعلاقتها بعمليات التنظيم الحراري Thermoregulation في أجسام الحيوانات وبمشكلات تكيف الجسم وتأقلمه في الأجواء الباردة وبخاصة في دراسة وتفسير فسيولوجية البيات الشتوي. وتشير الدراسات إلى أن أنسجة الدهون البنية توجد بصفة غير قابلة للشك في معظم الحيوانات الثديية خاصة لدى الثدييات الصغيرة والحديثة الولادة بما فيها الإنسان المولود حديثًا, ولكن بنسب متفاوتة حيث تبدأ في النمو والزيادة إما مباشرة بعد الولادة أو خلال عدة أسابيع أو شهور. ويعتقد أن وظيفة الدهون البنية في هذه المرحلة هي تزويد جسم الحيوان الوليد بالحرارة التي افتقدها بانتقاله من المرحلة الجنينية إلى البيئة الخارجية التي غالبا ما تكون أكثر برودة.

تتميز الدهون البنية بوفرة الأوعية الدموية التي تغذيها وهو السبب الرئيسي في لونها البني والذي قد يميل إلى الحمرة أحيانا مما أدى ذلك إلى اعتقاد البعض في السابق أنها إحدى الغدد الصماء. وبينت الدراسات المورفولوجية أن الدهون البنية مزودة بالكثير من الألياف العصبية التابعة للجهاز العصبي السمبثاوي ذي العلاقة الوثيقة بزيادة النشاط الفسيولوجي أثناء التعرض للحالات غير الطبيعية, كذلك فإنها مرتبطة بأحد أجزاء منطقة الهايبوثالامس في المخ والمسؤولة عن عمليات تنظيم تناول الطعام. وقد وجد أن التعرض للبرودة الشديدة أو الإفراط في تناول الطعام يؤدي إلى زيادة نشاط الدهون البنية.

أما على مستوى الخلية فإن الدهون البنية تتميز بكثرة الميتوكوندريا والتي تعتبر محطات توليد الطاقة في جميع الخلايا المختلفة في الجسم وذلك على هيئة ثلاثي أدينوزين الفوسفات (ATP). ولكن الميتوكوندريا في الدهون البنية تختلف في أسلوب عملها عن مثيلاتها في الخلايا الأخرى. فعلى سبيل المثال تقوم الميتوكوندريا في الخلايا باستخدام الوقود والذي يكون على هيئة جلوكوز أو أحماض دهنية لإنتاج الـ ATP كمنتج رئيسي لعمليات الأكسدة وذلك بغرض استخدامه في عمليات البناء والهدم البيولوجية بداخل الخلية, وينتج عن هذا التفاعل انبعاث حرارة بكميات بسيطة جدًّا. أما في الدهون البنية فإن الميتوكوندريا تقوم باستخدام الوقود والذي يكون على هيئة أحماض دهنية لتوليد الحرارة كمنتج رئيسي لعمليات الأكسدة مما يترتب عليه استخدام كميات كبيرة من الأوكسجين. ويؤدي ذلك إلى انبعاث كميات كبيرة من الحرارة تنطلق من الدهون البنية إلى جميع أعضاء الجسم من خلال الدورة الدموية. وهذا هو التفسير الأقرب للعمليات الفسيولوجية في الحيوانات أثناء فترة قيامها من سباتها الشتوي أو أثناء تعرضها للبرودة الشديدة فتقوم برفع درجة حرارة أجسامها دون الحاجة إلى الرجفة والارتعاش.

الدهن البني وتخفيض الوزن

في أغسطس 2008 توصل علماء أمريكيونإلى فهما جديدا لأصول خلايا الدهون البنية. وإعتبارها النوع الجيد للدهون الذي يحرق السعرات الحرارية ويحافظ على دفء الجسم مما قد يؤدي الى علاج جديد للبدانة.

وقال الباحثون بمعهد دانا فاربر لعلاج السرطان Dana-Farber Cancer Institute في بوسطن انهم استعانوا بتحويل جزيئي واحد لتحويل خلايا عضلات غير ناضجة الى خلايا دهنية بنية في المختبر وهو ما ينبيء بأن الدهون البنية مماثلة لخلايا العضلات بدرجة أكبر من خلايا الدهون البيضاء التقليدية.

واكتشف فريق اخر من مركز جوزلين لعلاج البول السكري في بوسطن بروتينا مهما للعلاج يساعد في تطوير انسجة الخلايا الدهنية البنية في الفئران.

وقال كلا الفريقين في الدراسة التي نشرت بمجلة الطبيعة (نيتشر) Nature ان الاكتشافات الجديدة توضح اصول الخلايا البنية التي تحرق الطاقة بالمقارنة بالدهون البيضاء التقليدية التي تخزن الطاقة.

والشخص البدين يحوي جسده على كميات كبيرة من الدهون البيضاء ويعتقد الباحثون انهم اذا تمكنوا من تخفيف الجسم بزيادة كمية الدهون البنية التي تحرق السعرات الحرارية فان هذا قد يساعد البدناء في تخفيف اوزانهم. [3]

في 30 يوليو 2012 اكتشف علماء أن الدهون البنية تنتج مقداراً كبيراً من الحرارة عبر إحراق السعرات الحرارية. ومن ثم تقوم الدهون البنية بتقليل الوزن، على عكس الدهون البيضاء.

عند الميلاد يكون لدى الطفل الرضيع الكثير من الأنسجة الدهنية البنية التي تساعد على إبقاء جسمه دافئاً وتساعده على التكيف مع الجو خارج رحم الأم. وعندما يكبر، يقل مقدار الدهون البنية. ويستخدم باحثون في جامعة نوتنگهام تقنية تبحث عن الحرارة للتعرف على ما إذا كانت الدهون البنية لا زالت موجودة في الأطفال والبالغين.[4]

ويوجد حوالي 50 جرام من الدهون البنية بمنطقة الرقبة وهي تنتج حرارة على مدار اليوم عند التعرض لدرجات الحرارة المختلفة أو حال القيام بتمارين رياضية أو تناول الطعام. وتكثر الدهون البنية لدى الأطفال مقارنة بالبالغين وكبار السن.

ويعتقد العلماء أن لو تم تنشيط الدهون البنية يمكن للإنسان تنازل المزيد من السعرات الحرارية دون زيادة في الوزن حيث سيفقد الطاقة بصورة غير ضرورية، وسنعرق كثيرا.

وصلات خارجية

المصادر

  1. ^ Gesta S, Tseng YH, Kahn CR (2007). "Developmental origin of fat: tracking obesity to its source". Cell. 131 (2): 242–56.{{cite journal}}: CS1 maint: multiple names: authors list (link)
  2. ^ الهيئة العالمية للإعجاز العلمي في القرآن
  3. ^ رويترز العربية
  4. ^ "الدهون البنية ومحاربة السمنة". بي بي سي. 2012-07-31. Retrieved 2012-07-31.


الكلمات الدالة: