خلية حبيبية محبة للأحماض
(تم التحويل من خلية محببة إيوسينية)
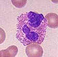
الخلايا الإيوسينية أو الخلايا الحمضية Eosinophils or Acidophils تكون 1-6% من العدد الكلي لكريات الدم البيضاء في مجرى الدم. ويترواح قطر الكرية الإوسينية بين 12-14 ميكرومتر. ويتم التعرف على هذه الخلايا بسهول حث تحتوي على حبيبات متخصصة كبيرة الحكم (تحتوي على عديد من الإنزيمات التحليللة منها هستامينيز وسلفاتيز) تملأ حيز السيتوبلازم ، وتصبغ بلون أحمر زاهي بصبغ الإيوسين.
وللخلية الإيوسينة نواة ذات فصين ، يتصل الفصان بخيط من الكروماتين ، قد تخفيه إلى حد ما الحبيبات السيتوبلازمية الكثيفة. والخلايا الإيوسينة لها نشاط بلعمي خاص تجاه معقد الأنتيجين–الجسم المضاد.
صور اضافية
وصلات خارجية
- e_11/12336073 at Dorland's Medical Dictionary
- Dictionary at eMedicine eosinophilic+leukocyte
- Bioweb at UWLAX Eosinophil
- Histology at ucsf.edu
المصادر
All content in this article is created by Marefa contributors and is © Marefa. All rights reserved.


